Причины
Точные причины появления данных дефектов еще не установлены. Существует высокая вероятность, что новообразование появляется при воспалительных процессах в суставах или сухожилиях. Такое состояние возникает при разных формах артрита, надрывах и повреждениях.
В группу риска входят профессиональные спортсмены, молодые люди, чья работа связана с постоянными чрезмерными нагрузками на запястья или ноги. Чаще всего ганглиевой кистой страдают продавцы, пианисты, программисты или прачки.
При гиподинамии нередко поражается спинной мозг шейного отдела позвоночника. Еще следует выделить генетическую предрасположенность, поэтому в большинстве случаев шишка появляется у близких родственников.
Лечение ганглия
Некоторые ганглии исчезают сами, без лечения. Если киста вызывает боль или имеет неэстетичный вид, врач может назначить лечения. Однако даже после лечения ганглий может появиться снова.
Примечание: Не пытайтесь разбить кисту тяжелым предметом. Это вряд ли избавит вас от кисты, и, скорее приведет к травме.
Мониторинг состояния ганглия
Поскольку многие ганглиозные кисты исчезают сами по себе, доктор может не предпринимать попыток вмешательства, наблюдая за ее состоянием.
Иммобилизация
Возможно, на запястье нужно будет наложить шину. Ганглиозные кисты обычно имеют небольшой размер при слабой активности запястья, и увеличиваются при увеличении нагрузки.
Операция по удалению ганглия
Киста может быть удалена хирургическим путем. Операция проводится, если киста имеет большой размер, вызывает боль и дискомфорт. Однако киста может появиться снова даже после операции.
Особенности лечения
Прежде чем назначать лечение патологии, врач направляет больного на обследование. Ему проводится КТ или МРТ, берется биопсия тканей. Это позволяет определить местоположение кисты и ее характер. Дополнительно могут назначаться анализы крови и мочи, УЗИ, рентгенография позвоночника. Только после составления полной картины заболевания врач выбирает методы лечения.
Консервативная терапия возможна только на начальном этапе, когда образование имеет небольшие размеры и не вызывает неврологических симптомов. Лечить кисту необходимо комплексно. Терапевтические меры выбирает невролог или нейрохирург. Все они должны быть направлены на облегчение состояния больного и предотвращение осложнений.
Начинают лечение с приема лекарственных препаратов. Чаще всего это обезболивающие и противовоспалительные средства. Нужны также витамины группы В, кальций, магний и фосфор. Назначаются препараты, улучшающие кровообращение и замедляющие дегенеративные процессы в тканях
Кроме того, важно устранить причины, вызвавшие появление кисты. Для этого необходимо лечить основное заболевание
Для устранения последствий травмы или повышенных нагрузок пациенту рекомендуется носить корсет или специальный бандаж.
Дополнительно больному важно правильно питаться, обеспечивая организм всеми необходимыми микроэлементами. Эффективны также физиотерапевтические процедуры
Врач может назначить курс массажа, лечебной физкультуры, рефлексотерапию, тракционное вытяжение позвоночника. Хорошо помогают уменьшить размеры образования лазерная вапоризация, фонофорез.
Но часто не удается обойтись без операции. Она нужна, если киста растет, оказывая давление на мягкие ткани или нервные корешки, нарушает кровообращение. Такие осложнения могут быть опасны, поэтому от кисты необходимо избавляться. А сделать это можно только хирургически. Самая легкая операция состоит в выкачивании жидкости из полости кисты. Это помогает избавиться от неврологических симптомов. Но после такого вмешательства часто происходит рецидив – киста снова наполняется содержимым.
Чаще всего лечение кисты возможно только с помощью операции
Внимание: чаще всего проводится полное удаление образования. Эта операция тяжелая, должна проводиться только опытным нейрохирургом, чтобы предотвратить кровотечение и другие осложнения.
Сначала отсасывается жидкость из полости кисты, только потом она удаляется.
После операции необходима реабилитация. Пациенту назначается постельный режим, лекарственные препараты для предотвращения воспаления, физиопроцедуры. Некоторое время необходимо носить бандаж, но постепенно нужно наращивать физические нагрузки. Специальная лечебная физкультура поможет укрепить мышечный корсет и предотвратить рецидив патологии.
Болезненные симптомы можно снимать народными средствами. Но применять их нужно только в составе комплексного лечения по рекомендации врача. Чаще всего применяют различные настойки из лекарственных растений. Эффективны корни и листья лопуха, девясил, лапчатка белая, цветки и листья акации, скорлупа грецкого ореха. Часто применяют сок лопуха, который обладает кровоочистительными свойствами.
Суть аномалии и механизм образования
Синовиальная киста представляет собой новообразование в области сустава, которое выпячивается и видно невооруженным глазом. Она появляется в околосуставной полости, серозной сумке или в сухожильном влагалище.
Капсулы ганглионарных кист состоят из соединительной ткани. Если гигромы развиваются в поверхностных синовиальных сумках, то их стенки неровные и утолщенные, часто приобретают хрящевую структуру. У капсул кист, которые развиваются глубоко в полости бурс, стенки тонкие и они не спаиваются с соседними тканями.
Опухоли могут возникать без воспалительного процесса, а в некоторых случаях синовиальная сумка заполняется серозно-фибриновой или кровянистой жидкостью. От чего появляются гигромы? Одна из версий – перерождение клеток соединительной ткани.
Размеры кист могут быть разными. Маленькие наполнены густой жидкостью, а большие – серозным содержимым с примесью крови, сгустков и кристаллов холестерина.
Диагностика
Поставить предварительный диагноз специалисту не составит труда после проведения первичного осмотра пораженного сустава. Однако для исключения возможной злокачественной формы патологии и других типов заболевания, могут использоваться следующие методы диагностики:
- УЗИ;
- Рентген в нескольких проекциях (с нескольких сторон);
- МРТ;
- Пункция, после которой проводится исследование взятого содержимого.
Используя подобные методы исследования, врачам удается максимально точно узнать не только форму и местоположение образования, но и выявить наличие сообщения её с самой суставной полостью.
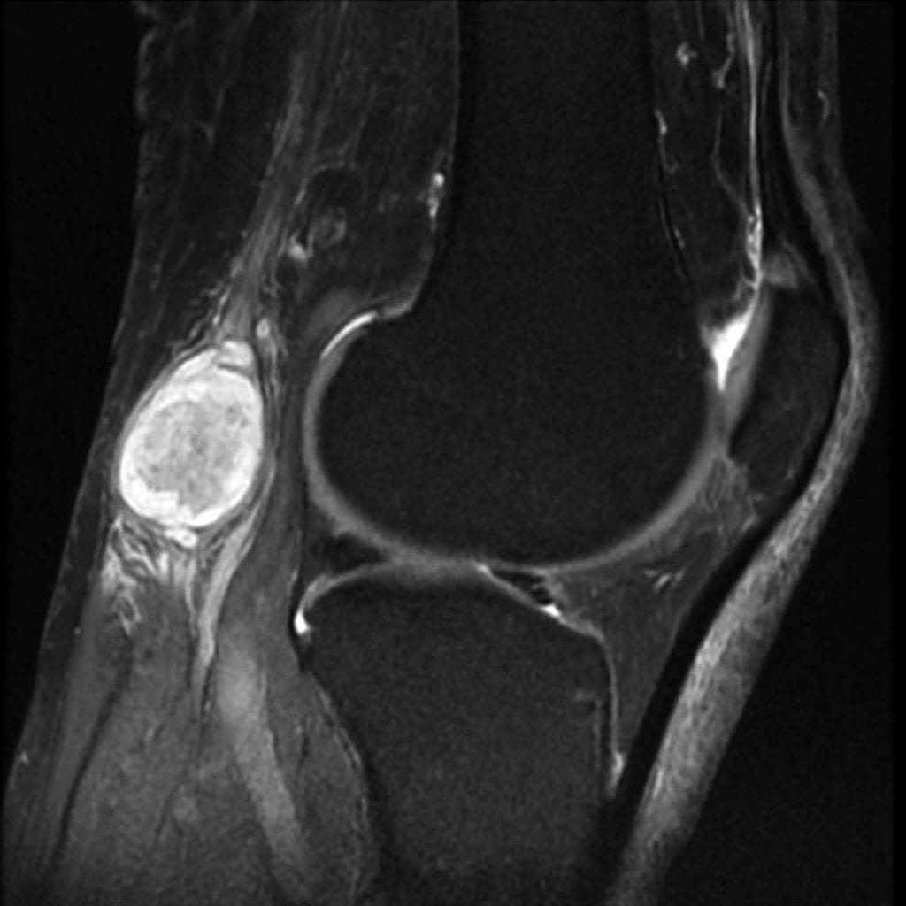
Диагностика ганглиозной кисты
Лучший способ лечения кисты ганглия, например, на предплечье, — это сначала обратиться к врачу. Они обследуют ваш сустав, чтобы убедиться, что опухоль представляет собой кисту ганглия. Они зададут вам вопросы о кисте, чтобы убедиться, что это не что-то более серьезное, что они должны лечить сразу.
Чтобы поставить вам диагноз «библейская киста» или киста ганглия, они проведут несколько тестов. Например, они могут нажать на комок, чтобы определить, вызывает ли он боль, твердый или мягкий. Они могут попытаться пролить на него свет, чтобы увидеть, наполнен ли он жидкостью.
В некоторых случаях они могут решить, что вам нужно пройти рентген или МРТ, чтобы они могли лучше рассмотреть кисту. Как только они смогут наблюдать это к своему удовольствию, они смогут диагностировать вас с кистой ганглия.
Как точно диагностировать ганглиевую кисту
В ряде случаев, даже пройдя всевозможные обследования — УЗИ, МРТ или КТ — пациент сталкивается с сомнениями врачей в диагнозе, противоречивостью или неоднозначностью трактовки найденных изменений. Не все рентгенологи и радиологи хорошо владеют данной тематикой, и не каждый в подробностях разбирается в лучевых признаках сухожильных ганглиев и способен правильно распознать сухожильный ганглий или другие варианты кист. В итоге диагноз может оказаться неточным или неверным.
В таких случаях полезно проконсультировать результаты КТ или МРТ у врачей, которые специализируются на ганглиевых кистах и вообще на диагностике суставов и конечностей. Таких врачей можно найти через службу консультаций Национальная телерадиологическая сеть. Сегодня не обязательно ехать в врачу лично — можно отправить снимки через интернет. В результате пациент получает второе мнение по снимкам, которое подтверждает имеющийся диагноз, или делает его более подробным и точным.
Профилактика
При склонности к развитию болезней суставов необходимо соизмерять физическую нагрузку для предохранения от обострения заболевания.
Разработанная методика лечебной физкультуры под руководством опытного инструктора поможет укрепить связки коленных суставов и уменьшить нагрузку.
Дополнительные медикаментозные средства, рекомендованные для восстановления структуры костной ткани и хрящей суставов, можно применять только после консультации специалиста. Большинство из препаратов имеют противопоказания и побочные эффекты.

Колено человека имеет сложнейшие анатомические соединения, порой в сочленении могут возникать различные патологии и болезни коленного сустава. Киста коленного сустава – это опухоль доброкачественного характера, которая возникает на задней стенке сустава. В зависимости от разновидности патологии в медицинской практике встречается многокамерный, односторонний, однокамерный и двухсторонний тип. Размеры опухоли тоже бывают разными — от двух сантиметров до десяти. Достигнув максимальной величины, киста способна лопнуть.
Клинические проявления
Симптоматика патологии зависит от диаметра гигромы. Мелкие дефекты протекают бессимптомно, вызывая лишь эстетический дискомфорт. По мере прогрессирования патогенного процесса синовиальная сумка чрезмерно растягивается, причиняя выраженный болевой синдром.
При сдавливании мелких кровеносных сосудов или нервных волокон пациент отмечает у себя следующие признаки:
- Покалывание или онемение кожного покрова.
- Неврологические боли.
- Застойные явления.
Если поражен коленный сустав, то ходьба и бег вызывают неприятные ощущения. В запущенных случаях нарушается венозный отток, вызывая отечность пораженной области, посинение эпидермиса, ограничение подвижности конечности.
Симптомы
Зачастую начальные стадии этого недуга не имеют явных и выраженных симптомов. Единственное, что может беспокоить человека – это чувство дискомфорта. Однако когда киста будет расти и увеличиваться в своих размерах, то начнет сдавливать нервные окончания, а также кровеносные сосуды. Подобные явления будут приводить к появлениям болей в районе колена. К тому же появится чувство онемения подошвы ног и небольшого их покалывания, а вот в верхней части голени постоянно будет присутствовать ощущения холода. Со временем в районе поражения будет появляться отек, тяжесть и разовьется чувство сдавливания внутри.
По мере роста ганглиевой кисты, будет происходить усиление болезненных ощущений, которые значительно будут снижать подвижность коленного сустава. Со временем может развиться тромбоз вен, а также произойдет их варикозное расширение. Если своевременно не было обращения к врачам и отсутствовало должное лечение, это приведет к тому, что начнут появляться определенные осложнения. Самыми частыми среди них является разрыв стенок образования, из-за повышенного давления внутри. Это приведет к распространению жидкости по всей области колена. Это будет проявляться изменениями цвета кожи, повышением температуры тела, а также гиперемией.
Причины появления
Причины возникновения гигромы:
- бурсит – воспаление синовиальной сумки;
- хронический тендовагинит – воспаление сухожильного влагалища (оболочек, которые окружают сухожилия);
- травма сустава;
- наследственная предрасположенность;
- постоянная нагрузка на сустав или сухожилия.
До конца точные причины этой патологии не изучены. Известно лишь то, что ганглион может появиться на любом участке тела, где есть соединительная ткань. Особенно если это место постоянно подвергается травматизации или длительным нагрузкам.
Ганглии можно назвать профессиональным заболеванием, но они встречаются преимущественно у женщин. У мужчин эта патология появляется в три раза реже. Дети и пожилые люди практически не подвержены таким кистам.
Что это такое
Из большого количества различных патологий колена, особенно выделяется ганглиевая киста коленного сустава. Такая аномалия является уплотнением в виде полости, где происходит накопление синовиальной жидкости, которая туда попадает из синовиального мешочка самого сустава в колене. Подобное образование проявляется зачастую в стоячем положении и выглядит как незначительное выпячивание. К тому же, патология может развиться еще и в тех тканях, которые прилегают к сухожильному влагалищу, а также надкостнице и нервному стволу.
Всего же, такую ганглию кисты можно встретить однокамерную, а в некоторых случаях и многокамерную. Последняя имеет форму плотной капсулы, частично состоящей из фиброзных волокон, а внутри неё будет находиться определенное количество студенистой жидкости, в чьем составе будет присутствовать муцин. При этом многокамерные виды патологии зачастую присутствуют с ответвлениями, которые уходят в пересиновиальные ткани. В большинстве случаев появлению данной аномалии подвержены спортсмены и люди, находящиеся в преклонном возрасте. Очень редко она встречается у детей или подростков.
Диагностика
При подозрении на ганглиевую кисту следует посетить травматолога. Врач должен изучить жалобы пациента, провести внешний осмотр и пальпацию дефекта.
Для подтверждения диагноза выполняют рентгенографию, ультразвуковое обследование, компьютерную или магнитно-резонансную томографию.
Чтобы уточнить тип патологии, обязательно нужно сделать пункцию с биопсией для последующего гистологического изучения. Если более тяжелые заболевания исключены, а лабораторное исследование взятого биологического материала не обнаружило патологическое увеличение бактерий, то ставится диагноз «ганглиозная киста».
Лечение кист
Варианты лечения кисты будут зависеть от целого ряда факторов, в том числе от типа кисты, где она находится, ее размера и степени дискомфорта, который она вызывает.
Для очень больших кист, которые вызывают неприятные симптомы, врач может порекомендовать хирургическое удаление.
Иногда врач может дренировать или аспирировать кисту, вводя иглу или катетер в полость. Если киста не легко доступна, врачи могут использовать рентгенологическое изображение для точного направления иглы или катетера.
Иногда медицинский работник может исследовать удаленную жидкость под микроскопом, чтобы определить, присутствуют ли какие-либо раковые клетки. Если он подозревает, что киста является злокачественной, он может предложить хирургическое удаление, заказать биопсию стенки кисты или и то, и другое.
Многие кисты развиваются в результате хронического или основного заболевания, как, например, при фиброзно-кистозном заболевании молочной железы или синдроме поликистозных яичников. В таких случаях лечение будет сосредоточено на самом заболевании, а не на кисте.
Локализация
Киста на позвоночнике может локализоваться в любом месте. Но чаще всего ее диагностируют в пояснично-крестцовом или шейном отделе. Это связано с тем, что эти области позвоночника подвергаются самым большим физическим нагрузкам, поэтому здесь чаще всего случаются травмы или возникают воспалительные процессы.
На шейном отделе позвоночника киста может образоваться даже при постоянном раздражении жесткими воротниками одежды или галстуками. Но обычно появляется такая опухоль у людей, длительное время проводящих за столом с наклоненной головой. Постоянное напряжение мышц шейно-воротниковой зоны приводит к воспалительному процессу и может образоваться опухоль.
Часто локализуется такое образование в поясничном отделе позвоночника
Из-за повышенных нагрузок при сидячем образе жизни часто образовывается киста также в области поясничного отдела позвоночника. Причиной этого могут стать травмы, подъем тяжестей, прыжки на ноги с высоты или падение на спину. У женщин часто такая опухоль появляется во время беременности.
Внимание: если поражен крестцовый отдел, возникают симптомы «конского хвоста». Часто первым признаком такой патологии является синдром беспокойных ног
В грудном отделе позвоночника киста появляется в основном после травм или при искривлении позвоночника, приводящем к неправильному распределению нагрузки между позвонками.
Кто склонен к ганглиозным кистам
Судя по тому, что известно медицинскому сообществу о ганглиозных кистах, ими может заболеть любой. Определенные факторы могут увеличить шансы на наличие одной из этих кист. К этим факторам относятся:
- Пол. У женщин ганглии развиваются в три раза чаще, чем у мужчин.
- Возраст. У большинства людей, у которых развивается киста ганглия, она появляется в раннем и среднем возрасте, между 20 и 50 годами.
- Предшествующая травма. Некоторые врачи считают, что травма сустава (например, тендинит из-за чрезмерного использования запястья) может спровоцировать развитие кисты ганглия в будущем. Исследования еще не подтвердили эту теорию.
- Артрит. Наличие артрита на руках повышает вероятность развития кисты ганглия. У людей с артритом часто возникает киста ганглия на кончиках пальцев (в суставе, ближайшем к ногтю). Но наличие ганглиозной кисты на пальце не означает, что у вас есть (или будет) артрит.
Причины кисты ганглия
Собственно, причина образования кисты ганглия до сих пор достоверно не известна. Тем не менее, этому заболеванию чаще всего подвержены те из вас, кто молод, а именно возрастной диапазон 15-40 лет. Как правило, женщины испытывают это чаще, чем мужчины.
Мало того, это состояние обычно чаще встречается у спортсменов, которые постоянно используют запястье для оказания давления.
Затем ганглиозные кисты, которые обычно образуются на концах суставов пальцев, обычно связаны с артритом или артритом, поражающим суставы пальцев. Этому состоянию больше подвержены женщины в возрасте 40-70 лет.
Что вызывает ганглиозные кисты
Никто точно не знает, что вызывает рост кисты ганглия. Некоторые теории указывают на то, что киста может развиться после того, как что-то повредит сустав, что приведет к протеканию или выпячиванию тканей.
В настоящее время большинство исследователей сходятся во мнении, что ганглиозные кисты развиваются из мезенхимальных клеток в синовиально-капсулярном соединении в результате непрерывного микротравмирования. Повторяющееся повреждение поддерживающих капсульных и связочных структур, по-видимому, стимулирует фибробласты к выработке гиалуроновой кислоты, которая накапливается с образованием муцинового “желеобразного” материала, обычно обнаруживаемого в ганглиозных кистах.
Разновидности образований в коленном суставе
Выделяют несколько вариантов формирования кисты Бейкера. В зависимости от вида кисты, отличаются и подходы к ее лечению.
Синовиальная киста
Патологический процесс обусловлен изменениями в функционировании синовиальной оболочки сустава. Точные причины формирования кисты не известны. Однако установлено, что предрасположенными к болезни являются люди с остеоартрозом, ревматоидным артритом либо травмированными суставами.
Лечение с помощью консервативных методов такой кисты практически неэффективное. Именно поэтому приходиться прибегать к хирургическому вмешательству. Удаляется синовиальная киста методом эндоскопии. Таким образом, травматизм практически исключен, реабилитационный процесс ускоряется. Нельзя откладывать лечение такой кисты на последний момент. Синовиальная киста может подвергаться разрыву. Тогда лечение намного усложнится, а колено будет дольше восстанавливаться.
Параменисковая киста коленного сустава
Эта разновидность болезни представляет собой кисту мениска. Вместе с мениском пораженными оказываются связки и околокапсулярная область. Опухоль сильно разрастается и не исчезает, когда колено разгибается. Легко поддается пальпации и диагностике. Способ лечения – хирургический.
Ганглиевая киста коленного сустава
Редко встречающийся вид доброкачественного образования. Имеет форму шара или овала. Опухоль, сухожильное влагалище и суставная капсула соединяются протоком кисты. Сама киста наполнена прозрачным, жидким либо студенистым веществом.
Суть аномалии и механизм образования
Синовиальная киста представляет собой новообразование в области сустава, которое выпячивается и видно невооруженным глазом. Она появляется в околосуставной полости, серозной сумке или в сухожильном влагалище.
Капсулы ганглионарных кист состоят из соединительной ткани. Если гигромы развиваются в поверхностных синовиальных сумках, то их стенки неровные и утолщенные, часто приобретают хрящевую структуру. У капсул кист, которые развиваются глубоко в полости бурс, стенки тонкие и они не спаиваются с соседними тканями.
Опухоли могут возникать без воспалительного процесса, а в некоторых случаях синовиальная сумка заполняется серозно-фибриновой или кровянистой жидкостью. От чего появляются гигромы? Одна из версий – перерождение клеток соединительной ткани.
Размеры кист могут быть разными. Маленькие наполнены густой жидкостью, а большие – серозным содержимым с примесью крови, сгустков и кристаллов холестерина.
Что это такое
Из большого количества различных патологий колена, особенно выделяется ганглиевая киста коленного сустава. Такая аномалия является уплотнением в виде полости, где происходит накопление синовиальной жидкости, которая туда попадает из синовиального мешочка самого сустава в колене. Подобное образование проявляется зачастую в стоячем положении и выглядит как незначительное выпячивание. К тому же, патология может развиться еще и в тех тканях, которые прилегают к сухожильному влагалищу, а также надкостнице и нервному стволу.
Всего же, такую ганглию кисты можно встретить однокамерную, а в некоторых случаях и многокамерную. Последняя имеет форму плотной капсулы, частично состоящей из фиброзных волокон, а внутри неё будет находиться определенное количество студенистой жидкости, в чьем составе будет присутствовать муцин. При этом многокамерные виды патологии зачастую присутствуют с ответвлениями, которые уходят в пересиновиальные ткани. В большинстве случаев появлению данной аномалии подвержены спортсмены и люди, находящиеся в преклонном возрасте. Очень редко она встречается у детей или подростков.



