Показания к рентгену
Снимки, выполненные при появлении первых симптомов, не позволяют установить межмышечные и фасциальные перегородки, которые отчетливо определяются у здоровых людей. Это происходит из-за стирания границ между мышцами и клетчаткой, а также насыщения и увеличения структуры мягких тканей. Такая патология в гематогенном остеомиелите визуализируется на рентгенограмме с шестого дня недуга.
При диагностике острого остеомиелита используется, в первую очередь, полипроекционный рентген. Если же сопутствующий ему остеопороз стал массивным, наступила вторая или третья стадия, применяется рентген жесткого излучения. Жесткость зависит от течения, фазы, скорости развития патологии. Острый гематогенный остеомиелит обнаруживается на рентгеновских снимках в начале развития заболевания. Визуализируются уплотненности, теряются границы мышц, особенно в глубоких слоях, окутывающих кость. Это свидетельствует о воспалительном процессе.
Как проводится?
Рентген пораженной кости выполняются в двух проекциях. При применении этого исследования выявляется рентгенологическая картина точной локализации костного некроза, его выраженность и длительность. Первые признаки воспалительного процесса появляются в детском возрасте уже на 3—5 день заболевания, а у взрослых на это уходит 12—15. Однако не стоит дожидаться этого срока, а для контроля динамки воспаления необходимо сделать снимки сразу.
Рентгенологическое исследование выявит неприятные последствия заболевания внутри костной полости, частично вне полости и за ее пределами.
Рентгенодиагностика хронического остеомиелита считается основным методом. Но если воспалились мягкие ткани, мышцы, сухожилия и жировая структура, он не будет до конца информативным. При поражении остеомиелитом больших костей суставов таза и позвоночника используется также томография, которая дает возможность получать полную клиническую картину
Для ее составления нужно обратить внимание на признаки заболевания, которые отображаются на снимке, а именно:
- остеонекроз;
- секвестры.
Рентгенологические признаки заболевания на снимках
На начальных стадиях отображаются такие характеристики остеомиелита:
- Утолщение кости в воспаленном месте.
- Темные, неправильной формы круги, которые находятся на кости и светлые на мягких тканях. Они свидетельствуют о некрозе костей или мышц и отображаются на рентгенограмме.
- Не обнаруживается костно-мозговой канал.

При рентгене используется прямое увеличение рентгеновского изображения. С помощью этого метода анализируются небольшие очаги некроза и непосредственно полости, в которой локализуется воспаление. Но если в результате воспалительного процесса образовался склероз кости, появились внутрикостные регенераты, представления о структуре кости и ее каналах на рентгене получить нельзя. В этом случае назначается фистулотомография.
Обследование при развитии хронического течения
Во время развития хронического гематогенного остеомиелита возникают дополнительные признаки со стороны костного мозга и надкостницы, на рентгене это выявляется очаговыми просветлениями и признаками реактивного остеопороза.
На фоне развития данного процесса, на рентгенологическом снимке появляются затемнения и тени секвестров, которые иногда с трудом обнаруживаются.
Их можно локализировать только при удачно выбранной проекции. В случае, если хроническое течение остеомиелита протекает длительно, трубчатая кость начинает перестраиваться в губчатую, на рентгене это выражается следующими признаками:
- Костномозговой канал полностью или частично замещается губчатым веществом кости.
- Надкостница становится заметно тоньше.
- На рентгене появляются дополнительные участки просветления.
В случае, если поражается костная структура таза, на рентгене наблюдается разволокнение надкостницы по типу губки, секвестры в тазу бывают редко. Подобная картина развивается также при поражении лопатки.
При поражении позвонков на начальных стадиях отмечается уменьшение щели между позвонками.
Рентгенодиагностика остеомиелита – это наиболее доступный и информативный метод диагностики для данного заболевания.
Видно ли остеомиелит на рентгене, и как именно
Рентгенография в большинстве случаев показывает косвенные и иногда (при распространенности процесса) прямые признаки остеомиелита. Нередко рентген используют для контроля динамики заболевания во время его активного (агрессивного) лечения.
Современные цифровые рентген-аппараты способны обнаружить остеомиелит на ранних стадиях. Это удается благодаря тому, что на рентгеновском снимке не видно межмышечных и фасциальных перегородок, которые в норме должны быть.
Использовать рентген в диагностике остеомиелита можно для любого участка костного аппарата. Особенно хорошо рентген покажет состояние голени и челюсти из-за их сравнительно больших размеров, удобства диагностики и отсутствии искажающих снимок тканей (например, связок).
Остеомиелит на рентгенографическом снимке
Обычно для диагностики используется узкопрофильная методика – полипроекционный рентген. Тем не менее, классическая рентгенография, проводимая на цифровом аппарате, также покажет заболевание (уже с шестого дня его развития).
Имеется возможность определения болезни в мягких тканях по косвенным признакам. Например, по понижению жесткости лучей, проходящих сквозь мышечные слои. Но такое описание снимка требует перепроверки более чувствительными методиками (например, с помощью МРТ).
Сравнение с другими методами диагностики
Рентгенография является хорошей, но не самой лучшей методикой диагностики остеомиелита, протекающего в тканях костей. Проблемы возникают с диагностикой осложнений остеомиелита в виде гнойных затеков в мягкие ткани или в нагноения ран.
Поэтому полноценная диагностика по одной рентгенографии не представляется возможной, даже на самых современных аппаратах. В связи с этим могут применяться иные методы визуализации:
- Магнитно-резонансная томография – позволяет визуализировать не только костные, но и мягкие ткани (хрящи, мышцы, связочный аппарат/сухожилия).
- Компьютерная томография – значительно лучше визуализирует костные ткани, нежели рентген.
- Фистулография – используется для обнаружения осложнений остеомиелита в виде секвестров и свищей.
Томография обязательна для дифференциальной диагностики остеомиелита с иными воспалительными заболеваниями (включая злокачественные новообразования). Только томография может обнаружить признаки раннего остеонекроза и секвестров.
Обнаружение таких ранних осложнений существенно улучшает прогноз, так как чем раньше их обнаружили, тем раньше начнется их лечение. Томография также способна обнаружить на ранних стадиях слоистый периостит, являющийся свидетельством повторного обострения заболевания.
Острый остеомиелит на рентгеновском снимке
Выходит, что рентгенодиагностика отлично подходит для первичной диагностики остеомиелита и для ведения (мониторинга) больных. Но для полноценного обследования в обязательном порядке требуется томография, нередко с дополнением в виде фистулографии.
Последствия остеомиелита
- Укорочение и искривление конечности.
- Патологические переломы и вывихи.
- Дефекты роста кости.
- Развитие сепсиса.
- Гнойное воспаление суставов.
- Амилоидоз почек.
Причины гематогенного остеомиелита
Причиной гематогенного остеомиелита является один из очагов воспаления: абсцесс мягких тканей, инфицированная рана или флегмона. Именно с этих очагов воспаления происходит распространение микробов по всему организму с током крови. Как известно, скорость кровотока обычно приостанавливается в средней части длинных трубчатых костей. Именно здесь происходит оседание возбудителей инфекции. При переохлаждении и пониженном иммунитете микробы очень быстро размножаются, вследствие чего и развивается гематогенный остеомиелит.
Чаще всего выделяют такие формы заболевания, как септико-пиемическую, местную и адинамическую формы:
- Септико-пиемической форме характерно острое начало, хотя интоксикация при это выражена слабо. Температура тела может подниматься до отметки 40°, при этом сопровождаясь головной болью, ознобом, рвотой. Человек может терять сознание, он может бредить, мучиться судорогами. Кроме того, не исключена гемолитическая желтуха. Больному характерна бледность кожи, синий цвет слизистых и губ, кожа часто бывает пересушенной. При данной форме остеомиелита отмечается пониженное давление и учащенный пульс, селезенка и печень увеличиваются в своих размерах (случается развитие бронхопневмонии).
На вторые сутки болезни развивается очень сильная боль сверлящего характера, которая по своей природе усиливается при самых незначительных движениях в области очага. Проявляется отечность мягких тканей, кожа становится горячей, ей характерен красный цвет. В случае распространения на ближайшие суставы может развиться гнойный артрит. Спустя 2 недели начинает формироваться очаг флюктуации, то есть в мягких тканях начинает накапливаться жидкость, после чего происходит проникновение гноя в мышечнуюткань с образованием межмышечной флегмоны. Если флегмона не будет своевременно вскрыта, то она будет в дальнейшем прогрессировать, приводя к возникновению другой флегмоны — параартикулярного типа. Также может развиваться гнойный артрит или сепсис.
При местной форме особых изменений в общем состоянии не происходит. Как правило, оно остается удовлетворительным. Могут наблюдаться местные признаки воспаления костей или мягких тканей.
Адинамической (или токсической) форме присуще молниеносное начало, могут преобладатьсимптомыострой формы сепсиса, которые выражаются в повышении температуры тела, судорогах, токсикозе и потери сознания. Как правило, данная форма протекает с понижением артериального давления и сердечно-сосудистой недостаточностью. Симптоматика костного воспаления обычно выражена слабо, однако и проявляется довольно поздно, тем самым затрудняя своевременную постановку диагноза.
Проявления заболевания на снимках
Абсцесс Броди
На ранних стадиях остеомиелита на рентгенограмме можно заметить следующие признаки:
- Кость становится более плотной в областях воспалительного процесса.
- На рентгенограмме можно увидеть секвестры – участки, где кость или мышечная ткань подверглись некрозу. Они выглядят как темные круги на кости или светлые на мягких тканях и имеют неправильную форму.
- При остеомиелите невозможно обнаружить костный мозговой канал на рентгенограмме.
Современная рентгеновская технология позволяет увеличить изображение и анализировать мелкие очаги некроза и полости, где развивается хроническое воспаление. Однако, когда воспалительный процесс продвигается дальше и возникает выраженный склероз кости, а также внутрикостные регенераты, рентген не может полностью представить костную структуру и внутрикостные каналы. В таких случаях пациенту может быть назначена фистулотомография.
Как и чем лечить разные виды остеомиелита
Лечение ранней стадии острого остеомиелита проводится терапевтическим методом.
Лечение остеомиелита медикаментозно
Цель терапии – уничтожение инфекционного агента.
- Антибиотики – Цефазолин, Ко-тримоксазол, Линезолид и другие. Препараты назначают индивидуально, основываясь на результатах бактериологических посевов. При лечении гематогенной формы болезни нередко сочетают несколько средств. Продолжительность антибактериальной терапии от 20-30 дней, при гематогенной форме – 1,5 месяца и больше.
- Иммуномодуляторы – Амиксин, Тималин и другие. Курс лечения определяется индивидуально, продолжительность терапии от 10 дней до нескольких месяцев. Иммуномодуляторы необходимы для поддержки и укрепления иммунной системы, повышения сопротивляемости организма к инфекции.
- Диуретики – Лазикс или Фуросемид. Быстро устраняют отеки. Часто назначаются при лечении остеомиелита после удаления зуба. Схема лечения определяется врачом, учитывается состояние пациента.
- Кристаллоиды – Трисоль, физиологический раствор, Нормосоль и другие. Вводятся внутривенно 5 дней для устранения симптомов и нормализации состояния.
Лечение хронического остеомиелита
Терапия при хроническом остеомиелите проводится в периоды обострения. Схема лечения не отличается от использующейся при острой форме болезни. В периоды ремиссии проходят поддерживающую терапию иммуномодуляторами.
Хронический остеомиелит лечат и в домашних условиях, но с разрешения специалиста. Незначительное ухудшение состояния – повод для госпитализации. Часто при болезни деформируется кость, происходит укорочение больной ноги, возникают свищи, долго не заживающие и периодически наполняющиеся гнойным экссудатом. В таких случаях поднимают вопрос о проведении операции.
Хирургическое лечение остеомиелита
Оперативное вмешательство назначается при:
- межмышечной и надкостничной флегмоне;
- гнойном артрите;
- атипической форме патологии;
- обширных свищах, не поддающихся терапевтическому лечению;
- частых и тяжелых рецидивах.
Операции по удалению гнойного очага почти всегда проворят в стоматологии. Процедуру выполняют под местной анестезией. Врач делает разрез десны и ниже расположенных тканей, очищает пораженный участок кости. Остеомиелит после удаления зуба лечит врач челюстно-лицевой хирургии, при необходимости привлекается пластический хирург.
Операции проводятся двумя методами.
- Разрез тканей в месте очага для удаления гноя из мышечных волокон, надкостницы, сухожилий. Врач разрезает мягкие ткани, не вскрывая кость.
- Остеоперфорация. В кости делают отверстие, через которое проводят санацию полости. В конце закрепляют дренажное устройство, обеспечивающее отток экссудата из очага. Операция чаще применяется при остром остеомиелите, когда необходимо срочно удалить очаг.
Для лечения хронического остеомиелита выполняют компрессионно-дистракционный остеосинтез по Илизарову: пораженный участок кости удаляют, ее концы соединяют, ось конечности фиксируют кольцами и спицами. Когда кость начинает срастаться, с помощью вертикальных стержней кольца постепенно раздвигают, вытягивая конечность.
Особенности лечения остеомиелита у детей
Хирурги предпочитают проводить щадящие операции, позволяющие сохранить функциональность костного аппарата. Специалисты выбирают пункционный метод, подходящий для лечения малышей до 6 лет.
Проведение операции у детей заключается в «прокалывании» кости специальной иглой, отсасывании гноя и промывании очага антибактериальными препаратами.
При терапевтическом лечении остеомиелита на конечности накладывается фиксирующий гипс, снимается нагрузка. Так удается предотвратить распространение инфекции и ее проникновение в мягкие ткани.
Как при помощи рентгена обнаружить заболевание на ранней стадии
Остеомиелит на снимке
Начальные проявления острого остеомиелита на рентгеновских снимках обнаруживаются к концу первой недели развития патологии, подтвердить диагноз можно на 8-15 сутки попадания инфекции. Это связано с патогенезом заболевания.
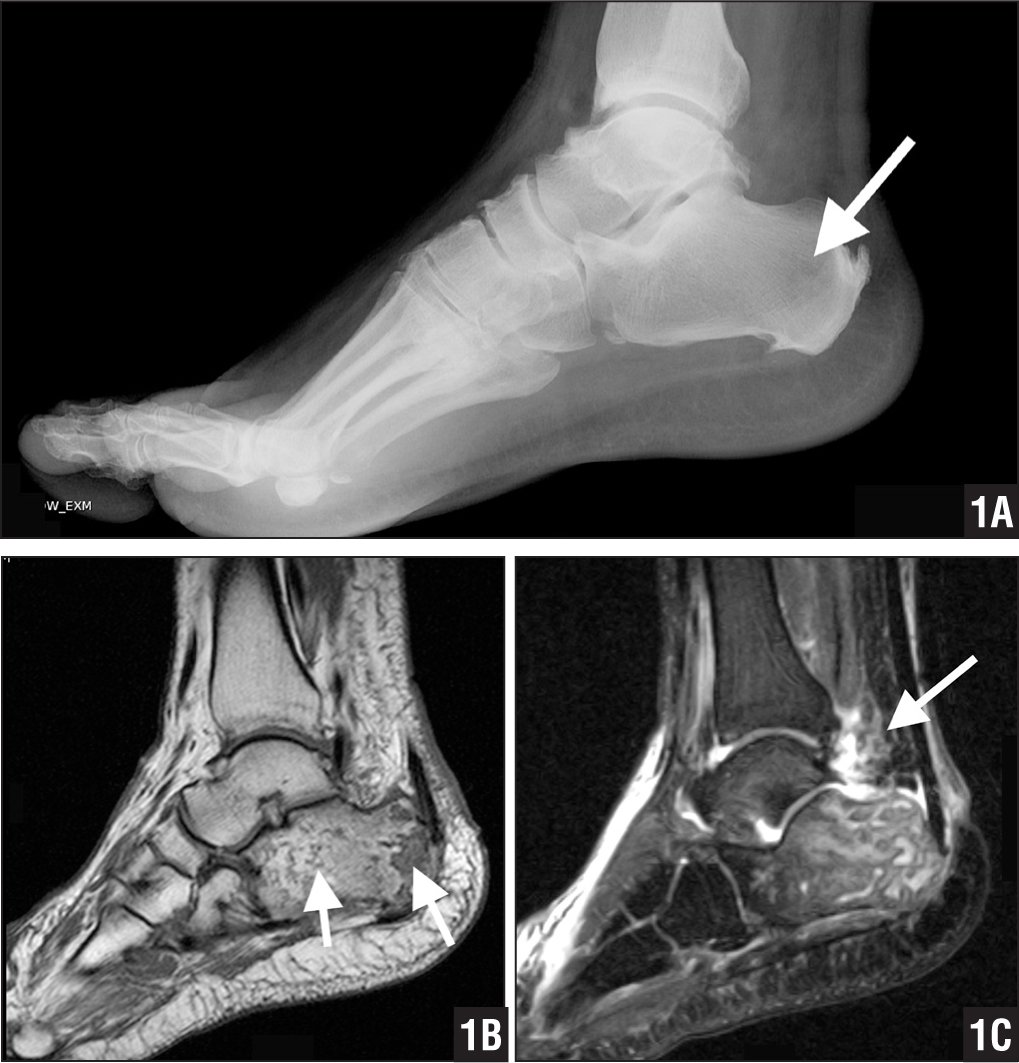
Остеомиелит пяточной кости
Развитие патологии может быть как после травматизации кости, так и в результате гематогенного распространения инфекции.
Если при переломе кости диагностика не составляет труда, то гематогенный остеомиелит трудно заподозрить.
Чаще острый гематогенный остеомиелит встречается у детей, так как в детском возрасте костный мозг представлен красным ростком, его кровоснабжение лучше за счёт большого количества анастомозов, во взрослом он замещается жёлтым костным мозгом — жировой тканью.
Остеомиелит нижней челюсти
Патогенез развития острой патологии связан с септическим инфекционным поражением, когда с током крови инфекция попадает в полость кости и начинается воспаление костного мозга.
Чем больше коллатералей, тем большая вероятность инфицирования. После попадания бактериального эмбола должно пройти время, необходимое на реакцию организма и воздействие патогенных факторов на ткани кости.
На начальных стадиях диагноз остеомиелит выставляется по рентгенологическим признакам:
- увеличение мягкотканого компонента в объёме над местом поражения: в норме подкожная клетчатка на снимке выглядит как однородное просветление, при воспалении — она отекает, становится по плотности соизмерима с мышечными структурами, контуры размываются;
- при воспалении в метафизе трубчатой кости размывается рисунок трабекул, контур коркового слоя, иногда он может исчезать;
- периостальная реакция наблюдается при эпифизарном остеомиелите в диафизах и эпифизах трубчатых костей — происходит отслоение коркового слоя, в просвете могут наблюдаться воспалительные инфильтраты (участки затемнения, в которых происходит иммунный ответ: отёк, лимфоцитарная инфильтрация, гнойное расплавление тканей) на рентгенограмме это выглядит как симптом утолщения кости;
- костномозговой канал размывается, его обнаружение возможно только при томографическом исследовании на ранних стадиях.
Чаще патология формируется в области функциональных участков костей, суставных поверхностях. В таком случае информативным для подтверждения диагноза становится пункция сустава. После процедуры для контроля эффективности проводят повторное исследование.
Особенности воспалительного процесса
Когда бактерии проникают в кость, образуется воспаление, поражающее губчатую ткань кости, надкостницу и костный мозг. Иногда в процесс вовлекаются окружающие мягкие ткани, образуя свищи. Если воспаление развивается внезапно, за 2-3 дня, симптомы его резко выражены, а состояние больного постоянно ухудшается, говорят об остром остеомиелите. При медленном развитии инфекционного поражения возникает хроническая форма заболевания.
При этом воспалительный процесс захватывает все большие участки губчатой костной ткани. Часто развивается некроз костного мозга. Уже через несколько дней после начала заболевания образуются гнойники. Воспаление распространяется на надкостницу и мягкие ткани. Особенно быстро инфекция распространяется в костях бедра и голени. Но если лечение было начато вовремя, воспалительный процесс можно остановить до начала разрушения кости. Такой благоприятный исход болезни чаще всего бывает у детей и молодых людей, у которых она может пройти без следа.
Но иногда происходит омертвение участков костной ткани. Образуются так называемые секвестры. Это участки костной ткани, которые из-за гнойного расплавления отделились от кости. Они окружены гнойным очагом и самостоятельно не рассасываются, особенно с возрастом. Состояние больного ухудшается из-за того, что гнойный очаг нарушает кровообращение. А вследствии из-за недостатка питательных веществ ткани отмирают.
Механизм развития патологии
Различают первичные и вторичные формы хронического воспаления. Первично-хронический остеомиелит возникает у людей с пониженным иммунитетом, развивается постепенно, протекает вяло. В костях преобладают склеротические процессы и образование грануляций. Таким образом обычно протекают так называемые атипичные разновидности патологии — остеомиелит Гарре, абсцесс Броди, альбуминозный подвид.
Часто хронический остеомиелит формируется как исход острого воспалительного процесса при недостаточно адекватной терапии или позднем обращении к докторам. Такой тип болезни можно назвать вторично-хроническим, для него характерно затяжное волнообразное течение с периодическим ухудшением состояния на фоне обострений.
Патогенез остеонекроза зависит от возбудителя, длительности болезни, сопротивляемости организма и адекватности терапии. Главным признаком хронизации является образование свищей, через которые выделяется гной и фрагменты костей — секвестры.
Различают следующие этапы развития секвестрирующей формы:
- развитие воспаления в области внедрения микроба;
- постепенное распространение микроорганизмов по внутрикостным сосудам, что вызывает поражение костного мозга;
- растворение костных трабекул под действием остеолитических ферментов с образованием секвестров;
- накопление гноя и затекание его под надкостницу;
- формирование свищей, через которые выделяется гнойный экссудат и костные фрагменты.
С течением времени острота клиники уменьшается, начинает образовываться новая костная ткань (остеорепарация), возникают грануляции, закрывающие свищевые проходы. Наступает стадия ремиссии. Хронический очаг инфекции склонен рецидивировать на фоне провоцирующих факторов.





