Магнитно-резонансная томография (МРТ)
Магнитно-резонансную томографию (МРТ) можно использовать для подтверждения данных, полученных по КТ и рентгенограммам, но больше она подходит для диагностики состояния мягких тканей и оценки повреждений хряща. Метод хорошо зарекомендовал себя для обнаружения травм, сопряженных с вывихом надколенника: отрыва медиальной бедренно-надколенниковой связки от бедренной кости или, реже, от медиальной фасетки надколенника; выпота в суставе; зон повышенной интенсивности сигнала и повреждений косой части медиальной широкой мышцы бедра; гематом в области латерального мыщелка бедра и медиальной фасетки надколенника.Поскольку боль в коленном суставе часто может быть из-за других причин, не связанных с положением надколенника, то МРТ используется достаточно часто.
Латерализация и хондромаляция
Первая ступенька в развитии нестабильности – это высокое стояние надколенника, когда удлиняется связка надколенника. Наружная широкая мышца бедра у человека развита сильнее, чем внутренняя. Поэтому может развиться латеропозиция надколенника – смещение коленной чашечки наружу (латерально). Это приводит к подвывиху или вывиху в бедренно-надколенниковом суставе.
Не нужно путать нестабильность и баллотирование надколенника.
| Патология | Клиническая картина |
| Нестабильность надколенника. | Латеральный вывих коленной чашечки человек может получить впервые в результате травмы ноги. Часто он вправляется самостоятельно. Но затем из-за повреждения связок развивается привычный вывих, или нестабильность надколенника. Она проявляется болями в колене и чувством неустойчивости при ходьбе. Смещенная латерально коленная чашечка мешает свободно сгибать и разгибать ногу. |
| Баллотирование надколенника. | Это признак скопления жидкости в полости коленного сустава. Если при этом надавить на коленную чашечку, она опускается вниз, к бедренной кости. А когда давление прекращается, занимает прежнее положение. |
При хронической нестабильности нагрузка на бедренно-надколенниковый сустав распределяется неправильно. Из-за перегрузки в 80 % случаев разрушается суставной хрящ коленной чашечки. Это осложнение носит название хондромаляция.
При хронической нестабильности пациенту сначала рекомендуют носить ортез: ортопедическое приспособление, которое препятствует смещению коленной чашечки. Если это не помогает, то требуется операция.
Латеральный релиз – это эндоскопическая операция. Она проводится с помощью артроскопа, через небольшой разрез в области сустава. Латеральный релиз – операция, при которой восстанавливается нормальное строение связок, поддерживающих коленную чашечку. После того, как осуществляется релиз, создается нормальное положение костей в бедренно-надколенниковом суставе.
Если нет возможности провести артроскопическую операцию, возможно ушивание связок открытым методом, «по старинке». При этом медиальная связка восстанавливается за счет вшивания собственного сухожилия пациента, взятого от другой крупной связки. Вот сколько секретов раскрывает анатомия надколенника – одной небольшой косточки из двухсот костей человека.
Лечение синдрома
Лечение синдрома латеральной гиперпрессии надколенника заключается в сочетании хирургических и консервативных методов.
Оперативное лечение основано на устранении этиологии смещения надколенника. Целью операции является устранение напряжения структур, удерживающих надколенник, но повышение тонуса медиальных связок надколенника. Операцию проводят либо с помощью артроскопии, либо открытым методом. Проводится под общим наркозом. После операции на область коленного сустава накладывают эластичный бинт для временного обездвиживания коленного сустава.
Консервативные методы лечения заключаются в проведении лечебной физкультуры, посещении бассейна, применении физиопроцедур. Физические упражнения должны быть направлены на укрепление мышечного и связочного аппарата.
Дополнительным методом является прохождение курса массажа для расслабления мышц в период реабилитации — отзывы о таком методе положительные. В послеоперационный период используются фиксирующие бандажи или повязки. Консервативная терапия требует длительного периода лечения и полной приверженности пациента к ней.
Пателлофеморальный артроз коленного сустава
Диагностика
Помимо указания на предшествующую травму и осмотра, для уточнения диагноза используют:
пункцию коленного сустава;
рентгенографию;
артроскопию;
УЗИ, КТ и МРТ.
1. Пункция
Пункция коленного сустава – процедура диагностическая и одновременно лечебная. Ее проводят под местным обезболиванием (делают анестезию с помощью уколов новокаина или лидокаина в мягкие ткани вокруг места пункции) толстой иглой, которую вводят внутрь сустава. После попадания в полость сустава врач оттягивает поршень шприца и оценивает стекающую туда жидкость:
(если таблица видна не полностью – листайте ее вправо)
2. Рентгенография
Рентген колена в двух проекциях позволяет обнаружить внутрисуставной перелом (перелом костей, образующих коленный сустав, внутри полости сустава).
3. Артроскопия
Артроскопия – лечебно-диагностическая малотравматичная операция, которую проводят с использованием артроскопа (аппарата, позволяющего увидеть изнутри полость сустава). Артроскоп вводят внутрь коленного сустава через маленький разрез. При необходимости удалить поврежденные ткани делают еще один разрез, через который хирург вводит инструменты и извлекает обрывки хряща или другие мертвые ткани.
Механизм развития
Строение надколенника состоит из пяти частей. Две из которых (медиальная и латеральная) относятся к самым уязвимым, где чаще всего возникают травмы. При травматическом повреждения медиальной части поверхности надколенника, латеральная его часть принимает двойную нагрузку.
Огромное значение в развитии болезни имеет смещение надколенника вследствие нарушения мышечного и связочного аппарата. Надколенник имеет две связки, которые его удерживают. Латеральная связка надколенника смещает область надколенника кнаружи и контролирует, чтобы не происходило смещение кнутри.
Латеральный удерживатель надколенника имеет глубокий и поверхностный компонент. Глубокий компонент крепится непосредственно к надколеннику и является первой линией сопротивления с Медиальная связка надколенника относится к основной, так как она выполняет функцию стабилизатора статической работы и удерживает надколенник в одном положении.
Механизм развития
Строение надколенника Строение надколенника состоит из пяти частей. Две из которых (медиальная и латеральная) относятся к самым уязвимым, где чаще всего возникают травмы. При травматическом повреждения медиальной части поверхности надколенника, латеральная его часть принимает двойную нагрузку.
Огромное значение в развитии болезни имеет смещение надколенника вследствие нарушения мышечного и связочного аппарата. Надколенник имеет две связки, которые его удерживают. Латеральная связка надколенника смещает область надколенника кнаружи и контролирует, чтобы не происходило смещение кнутри.
Латеральный удерживатель надколенника имеет глубокий и поверхностный компонент. Глубокий компонент крепится непосредственно к надколеннику и является первой линией сопротивления с Медиальная связка надколенника относится к основной, так как она выполняет функцию стабилизатора статической работы и удерживает надколенник в одном положении.
Лечение латеральной нестабильности
Лечение синдрома
Лечение синдрома латеральной гиперпрессии надколенника заключается в сочетании хирургических и консервативных методов.
Оперативное лечение основано на устранении этиологии смещения надколенника. Целью операции является устранение напряжения структур, удерживающих надколенник, но повышение тонуса медиальных связок надколенника. Операцию проводят либо с помощью артроскопии, либо открытым методом. Проводится под общим наркозом. После операции на область коленного сустава накладывают эластичный бинт для временного обездвиживания коленного сустава.
Консервативные методы лечения заключаются в проведении лечебной физкультуры, посещении бассейна, применении физиопроцедур. Физические упражнения должны быть направлены на укрепление мышечного и связочного аппарата.
Дополнительным методом является прохождение курса массажа для расслабления мышц в период реабилитации — отзывы о таком методе положительные. В послеоперационный период используются фиксирующие бандажи или повязки. Консервативная терапия требует длительного периода лечения и полной приверженности пациента к ней.
Оказание первой помощи
Повреждения такого вида часто появляются в местах, где нет врачей, до медицинского учреждения далеко. Вывих наколенника случается у лыжников в лесу, во время отдыха на природе. Надо уметь оказывать самую элементарную помощь, чтобы обезопасить рану, облегчить состояние пострадавшего, обеспечить доставку его до врачей.
После вывиха надо обеспечить неподвижность повреждённой ноге, не надо насильно сгибать или разгибать её, пусть находится в удобном положении. Если колено согнуто, под него лучше подложить свёрнутое одеяло, куртку. Пострадавшему лучше находиться в полусидячей позе. Если ему очень больно, можно дать обезболивающее средство, запомнить — какой препарат дали, или оставить упаковку, чтобы показать врачам.
Чтобы уменьшить образование отёка, на место травмы прикладывается холодный компресс. Если есть участки открытой раны, нужно попытаться остановить кровотечение. Края раны смазать зелёнкой, йодом, перевязать бинтом.
Пострадавшего необходимо доставить в медицинское учреждение. На повреждённую ногу наступать не рекомендуется, чтобы избежать осложнений, формирования привычного вывиха. Если есть возможность, пострадавшего надо донести на носилках или соорудить ему костыли.
Клинические проявления и осложнения
Основным клиническим проявлением СЛГН является постоянная ноющая боль в переднем отделе коленного сустава (усиливающаяся при сгибании), обусловленная вторичной хондромаляцией, а также раздражением нервных волокон, расположенных непосредственно в латеральном удерживателе надколенника. Отмечается припухлость сустава, рецидивирующие синовиты, хруст при движениях. При прогрессировании гиперпрессии возможно появление чувства неустойчивости, разболтанности в суставе, болевого псевдоблокирования сустава.
Осложнениями СЛГН могут быть хондральные и остеохондральные переломы наружного мыщелка бедра, медиальной и латеральной фасеток надколенника, при длительном течении с травматическими эпизодами могут наблюдаться привычные вывихи надколенника
Для профилактики осложнений у пациентов с СЛГН необходимо уделять особое внимание тщательному обследованию пациентов с целью раннего выявления у них признаков данной патологии. В диагностике СЛГН важны тщательный сбор анамнеза заболевания, оценка болевого синдрома и результатов специальных клинических тестов
С точки зрения определения этиологии заболевания и выбора метода лечения важно проведение теста на ограничение поднятия латерального края надколенника: так, невозможность поднятия до нейтрального положения в 0° свидетельствует о плотном латеральном удерживателе надколенника. Также важную роль в диагностике СЛГН играет измерение угла Q, или угла квадрицепса, образуемого между линиями, одна из которых проведена от верхней передней подвздошной ости к надколеннику, другая – от центра надколенника к большеберцовому бугорку
Значения этого угла, превышающие 20°, необходимо расценивать как патологию.
Рентгенологическое исследование, КТ, МРТ, миография m. quadriceps femoris (выявление дисфункции латеральной и медиальной головок мышцы) и диагностическая артроскопия позволяют верифицировать диагноз.
Комплексный подход в лечении
Как только появляется подозрение на вывих коленной чашечки, человек должен исключить любую нагрузку на эту область. Холодные компрессы в первые минуты после травмы помогут избавиться от сильных болезненных ощущений и отёков. Затем нужно обратиться к доктору, который может порекомендовать местные инъекции против сильной боли.
После проведения обследований и вправления вывиха накладывают гипсовую повязку. Она фиксирует диск в заданном положении и не дает поврежденной области вновь травмироваться (из-за повышенной чувствительности в период восстановления даже небольшое воздействие может привести к новым повреждениям). Фиксацию накладывают от голеностопа до самых ягодиц.
Носить гипс придется плоть до 5-6 месяцев, полностью снять его можно только после повторного рентгена. Дополнительно в период ношения повязки врач назначает:
- физиотерапию (УВЧ через повязку);
- лечебный массаж;
- дополнительные витамины и медикаменты для стимуляции заживления.
Соблюдение покоя – главный принцип быстрого восстановления поврежденных тканей. Минимальный срок покоя – 30 суток.
Оперативное вмешательство
Хирургическую операцию назначают в случае невозможности или неэффективности консервативного лечения. С помощью вмешательства можно скорректировать вывих, устранить врожденные патологии костей, укрепить капсулы суставов, связки.
Еще одно показание для операции – часто возникающие вывихи (от 3 в год). Подобный тип операции назначается молодым пациентам при врожденных дефектах или с целью профилактики патологии. При этом оперативное вмешательство может быть 2 типов:
- артроскопическая операция – подходит при слабовыраженных смещениях коленной чашечки;
- открытая хирургия – существует множество методик, наиболее подходящую подбирает врач.
Минимальный период восстановления – 7 дней. При открытых операциях срок может увеличиться на несколько недель. В течение первого времени нужно находиться под круглосуточным присмотром медиков.
Особенности реабилитации
После операции или неинвазивного восстановления надколенника назначаются лечебные гимнастические упражнения, которые должны мобилизовать движение сустава и не дать атрофироваться мышцам. Массаж назначается через несколько дней после начала консервативного лечения. Основная цель массажа – укрепление тканей, активизация питания и кровообращения в глубоких слоях мышц, сухожилий, суставов.
Отсутствие лечения может привести к последствиям: развитие привычного вывиха и постоянных болей, а также постепенное разрушение связок и хрящей коленного сустава. На фоне дискомфорта снижается двигательная функция и появляется мышечная слабость. Правильная диагностика, травматологические процедуры, консервативное лечение или операция предотвратят развитие любых осложнений.
Почему нельзя приступать к лечению вывиха надколенника сразу же после обнаружения патологии

Анатомия надколенника
Надколенник является самой крупной сесамовидной костью.
Сесамовидная кость обычно располагаются в толще сухожилий и служит для увеличения тяги мышцы. К нижнему полюсу надколенника прикрепляется связка надколенника, которая идёт к бугристости большеберцовой кости. К верхнему полюсу надколенника прикрепляется четырёхглавая мышца бедра. Надколенник участвует в разгибании голени. К внутренним и наружным поверхностям надколенника прикрепляются удерживатели надколенника, которые помогают надколеннику при движениях располагаться по центру. При разгибании надколенник свободно находится в полости коленного сустава, а при сгибании плотно прилегает к специальной борозде на бедренной кости – образуется бедренной надколенниковый сустав. Поверхность надколенника, которая скользит по бедренной кости является суставной, покрыта толстым хрящем.
Две поверхности надколенника – справа суставная поверхность
Нестабильность надколенника. Нестабильность надколенника это состояние, при котором надколенник стремится сместиться из центрального положение в сторону.

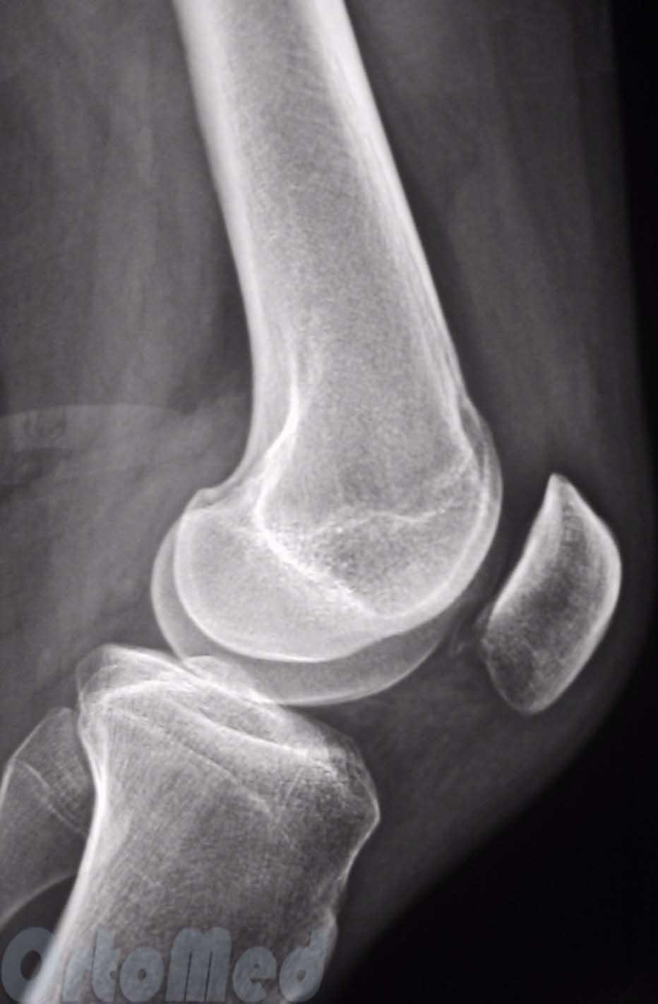
Сверху – боковая рентгенограмма, снизу – аксиальная, на которой видно нормальное взаимоотношение надколенника и бедренной кости
Бывает гиперпрессия коленной чашечки, то есть повышенное давление на суставную фасетку – латеральная гиперпрессия, то есть повышенное давление на наружный мыщелок бедренной кости, медиальная гиперпрессия, то есть повышенное давление на внутренний мыщелок бедренной кости. При латеральной гиперпрессии надколенник давит на наружную фасетку, при ещё большем смещении – появляется подвывих надколенника, при полном смещении – вывих.

Слева – подвывих надколенника, тенденция к смещению кнаружи; справа – вывих надколенника
Причины синдрома латеральной гиперпрессии надколенника
Воспаление коленного сустава
Причинами данного синдрома является в первую очередь нарушения в развитии. К ним относятся: плоскостопие, дисплазия надколенника, гипоплазия наружного мыщелка бедренной кости, искривление бугристости большеберцовой кости, вальгусная деформация, высокое стояние надколенника, врожденные деформации.
Второй по частоте причиной развития синдрома латеральной гиперпрессии надколенника являются травматические повреждения надколенника. Во время таких повреждений происходит сильное натягивание латеральной связки надколенника, либо ослабление его медиальной связки.
Третьей причиной развития синдрома латеральной гиперпрессии надколенника является миастения медиальной мышцы бедра.
Механизм развития
Строение надколенника состоит из пяти частей. Две из которых (медиальная и латеральная) относятся к самым уязвимым, где чаще всего возникают травмы. При травматическом повреждения медиальной части поверхности надколенника, латеральная его часть принимает двойную нагрузку.
Огромное значение в развитии болезни имеет смещение надколенника вследствие нарушения мышечного и связочного аппарата. Надколенник имеет две связки, которые его удерживают. Латеральная связка надколенника смещает область надколенника кнаружи и контролирует, чтобы не происходило смещение кнутри.
Латеральный удерживатель надколенника имеет глубокий и поверхностный компонент. Глубокий компонент крепится непосредственно к надколеннику и является первой линией сопротивления с Медиальная связка надколенника относится к основной, так как она выполняет функцию стабилизатора статической работы и удерживает надколенник в одном положении.
Причины синдрома латеральной гиперпрессии надколенника
Причинами данного синдрома является в первую очередь нарушения в развитии. К ним относятся: плоскостопие, дисплазия надколенника, гипоплазия наружного мыщелка бедренной кости, искривление бугристости большеберцовой кости, вальгусная деформация, высокое стояние надколенника, врожденные деформации.
Второй по частоте причиной развития синдрома латеральной гиперпрессии надколенника являются травматические повреждения надколенника. Во время таких повреждений происходит сильное натягивание латеральной связки надколенника, либо ослабление его медиальной связки.
Виды травм коленного сустава и их причины
Самые частые травмы колена – это растяжение связок и разрывы. Если один элемент «выходит из строя», то остальным сложно продолжать функционировать.
Все дело в том, что в работе коленного сустава все составляющие связаны между собой. Без хряща кости сотрутся и передвигаться можно будет только в сопровождении сильнейших болей.
Разрыв мениска приводит к проблемам с костями. Тоже самое можно сказать и о мышцах.
Разорвать связку или мышцу можно не только при сильных физических нагрузках. Навредить колену можно и ударом. Все зависит от силы механического повреждения и от состояния здоровья человека. Если органы находятся в плохом состоянии, то чтобы их вывести из строя окончательно, достаточно одного тупого удара.
Часто даже при незначительном повреждении врачи диагностируют переломы. А все потому что недостаточно укреплены кости и мышцы, а сами хрящи уже истончены и изношены
Важно следить за суточным потреблением кальция и продуктов, содержащих природный коллаген
Отечность, покраснение коленной чашечки – это уже признак того, что нужно обратиться к доктору. Но случается и так, что травма может не сопровождаться симптомами. Они проявляются только через некоторое время.
К травмам менисков больше всего подвержены атлеты. К сожалению, лечение требует исключительно хирургического вмешательства. Поэтому спортсмены стараются как можно лучше защитить свои колени при больших нагрузках. К примеру, в приседаниях с весом используют наколенный эластичный бинт. Он перераспределят нагрузку с колен, обеспечиваю небольшую поддержку чашечке.
До приема врача облегчить боль и немного снять отек поможет холодный компресс. Если боль острая, то передвигаться самостоятельно не рекомендуется. До приезда скорой нужно зафиксировать ногу в неподвижном состоянии, чтобы не усугубит ситуацию.
Высокое стояние надколенника: симптомы
Типичные клинические проявления включают в себя:
- Нестабильность.Жалобы на нестабильность или слабость коленного сустава, усиливающиеся при ходьбе и беге, очень характерны при данном состоянии.
- Рецидивирующий (повторяющийся) вывих коленной чашечки.Обычно происходит в наружную (латеральную) сторону. Надколенник полностью смещается за пределы сустава. Часто сопровождается разрывом связки надколенника. Основные симптомы: острая боль, деформация колена и аномальное расположение надколенника, отек, гематома, тугоподвижность и ограничение амплитуды движений сустава.
- Боль в области передней части колена.Часто диагностируется как пателлофеморальная боль. Усиливается при ходьбе вверх и вниз по склону и лестнице, приседании, длительном сидении.
Пателлофеморальный артроз коленного сустава Консервативное лечение
Большинство повреждений задней поверхности надколенника лечатся консервативными методами. Например, такая временная патология как «колено бегуна» встречается у пациентов более молодого возраста и лечится путем подбора правильных нагрузок и физиотерапии. При диагностике данной травмы стоит избегать лишних тренировочных нагрузок, так как боли с передней стороны колена могут возникнуть снова.
Физиотерапия и адаптация образа жизни
Симптомы заболевания пателлофеморальный артроз стабилизируются путем укрепления мышц бедра, а так же потери лишнего веса. Боли в надколеннике можно сократить, если избегать такие нагрузки как положение приседа и поднятие по лестнице. Упражнения на растяжение мышц улучшают латеральную (боковую) подвижность и ход надколенника в надколенниковой поверхности бедренной кости.
Ортопедические протезы
При сильных болях в надколеннике помогают ортопедические протезы (ортезы), которые на время ограничивают подвижность пателлы и освобождают ее от нагрузок. Специалисты нашей клиники окажут Вам квалифицированную помощь при выборе данного вида лечения болевого синдрома.
Болевая терапия и медикаменты
При помощи болеутоляющих и противовоспалительных медикаментов (нестероидные противовоспалительные препараты) контролируют ход заболевания.
Инъекционное лечение
При сложных воспалениях помогает инъекция кортизона. Однако данный метод не рекомендуется использовать постоянно. Инъекции внутрисуставной смазки (гиалуроновая кислота) улучшают способность скольжения коленного сустава, но не используются как форма этиотропной терапии ретропателлярного артроза. Успешной данная форма лечения может быть только при наличии определенного количества суставной поверхности, а так же при долгосрочном положительном результате.
Границы консервативного лечения
Когда отсутствует хрящевая поверхность и происходит трение костей друг о друга, консервативное лечение почти бессильно. Высококвалифицированные ортопеды-хирурги клиники Геленк-Клиник рассмотрят каждый случай в индивидуальном порядке и постараются помочь пациенту консервативными методами. Если же врач установит, что консервативное лечение не принесет желаемого результата, пациенту будут предложены другие формы лечения пателофеморальной патологии.







