КЛИНИЧЕСКАЯ КАРТИНА
Клиническая картина подагры складывается из поражения суставов, тофусов и поражения почек (интерстициального нефрита и нефролитиаза). Часто выявляют ожирение, гиперлипидемию, нарушения углеводного обмена, АГ и ИБС.
АСИМПТОМАТИЧЕСКАЯ ГИПЕРУРИКЕМИЯ
Асимптоматическая гиперурикемия – состояние, характеризующееся повышенным содержанием мочевой кислоты в крови при отсутствии клинических признаков отложения кристаллов (т.е. без артрита, тофусов, поражения почек).
ОСТРЫЙ ПОДАГРИЧЕСКИЙ АРТРИТ
Типичная клиническая картина представлена внезапно возникшим артритом с выраженными болями в суставах. Заболевание провоцируется травмой, физической нагрузкой, посещением сауны, эмоциональным стрессом, изменением диеты (как перееданием, так и голоданием), употреблением алкогольных напитков, кровотечением, инфекцией, хирургическими вмешательствами, применением лекарств (наиболее часто тиазидных диуретиков, химиотерапевтических противоопухолевых средств). Чаще происходит поражение одного сустава нижних конечностей, причём у 50% больных вовлечён I плюснефаланговый сустав. Реже отмечают воспаление локтевых и лучезапястных суставов; дистальные межфаланговые суставы поражаются чаще на фоне существующего остеоартроза; тазобедренные суставы обычно не поражаются. Чаще подагрические атаки возникают ночью и протекают с быстрым нарастанием эритемы и температуры вокруг сустава, его отёчностью и болезненностью. Воспаление может перейти и на окружающие мягкие ткани, формируя клиническую картину воспаления подкожной клетчатки или флебита. Тяжёлые случаи сопровождает повышение температуры тела. Обычная продолжительность приступа – несколько дней, реже нескольких недель. После приступа деформаций сустава не возникает. Вышеописанные особенности подагрической атаки специфичны и важны для постановки правильного диагноза.
МЕЖПРИСТУПНЫЙ ПЕРИОД
Межприступный период наступает после окончания приступа и длится до следующей острой атаки. У 60% пациентов повторные приступы наступают в течение первого года заболевания. В типичных случаях в межприступный период пациенты не предъявляют жалоб, но если больной не получает лечения, то каждая последующая атака протекает тяжелее, межприступный период укорачивается. У некоторых пациентов быстро, практически без ремиссий, развивается хронический подагрический артрит.
ХРОНИЧЕСКИЙ ПОДАГРИЧЕСКИЙ АРТРИТ
Хронический подагрический артрит (хроническая тофусная подагра) возникает при отсутствии лечения, и его считают финальной стадией подагры. Он характеризуется образованием тофусов – скоплений уратных кристаллов, окружённых воспалительными клетками и фиброзными массами. Тофусы – плотные, подвижные образования беловато-желтоватого цвета, из которых при изъязвлении выделяется мелоподобное содержимое.
• Локализация тофусов: подкожно или внутрикожно в области пальцев кистей и стоп, коленных суставов, на локтях, ушных раковинах, хотя тофусы могут образовываться практически в любых участках тела и во внутренних органах. У женщин в постменопаузе тофусы нередко располагаются в области узелков Гебердена. Иногда наблюдается изъязвление кожи над тофусами со спонтанным выделением содержимого в виде пастообразной белой массы.
• Раннее появление тофусов наблюдается: при некоторых формах ювенильной подагры, у принимающих диуретики женщин пожилого возраста, при миелопролиферативных заболеваниях и некоторых заболеваниях почек, приводящих к выраженной гиперурикемии.
Меню на день
На завтрак можно съесть легкий винегрет с небольшим кусочком ржаного хлеба. На десерт рекомендуется чай с молоком и немного творога. На второй завтрак лучше приготовить яичницу или гречневую кашу. Десерт будет состоять из свежевыжатого фруктового сока. В обед можно съесть овощной суп, добавив в него немного сметаны, кусочек отварного нежирного мяса и картофельное пюре. В качестве гарнира подойдет и квашеная капуста. На десерт выпивается компот. Далее следует полдник, на который можно выпить молока и съесть булочку. На ужин рекомендуется приготовить макаронную запеканку (в качестве начинки подойдет творог) и несколько овощных котлет. Запить все это можно киселем.
Что показывает рентген при подагре
На рентгеновских снимках хорошо видны проявления такого артрита. На рентгенограммах специалист распознает места, где присутствует скопление кристаллов солей. Поэтому при появлении симптомов данного заболевания врач в первую очередь отправляет больного на прохождение такого обследования. Оно дает понять, действительно ли присутствуют признаки подагры, а не другой суставной патологии.
Основная суть диагностической процедуры заключается в поглощении тканями пораженной зоны лучей. В дальнейшем эта область проецируется на пленке или мониторе компьютера. Полученная информация обрабатывается врачом. На основе сделанных выводов он может судить о текущем состоянии пациента и подобрать для него оптимальное лечение.
Рентгеновские снимки помогают выяснить степень разрушения костных структур при подагре.
Рентгенологические признаки подагры

Рентгеновские снимки помогают точно определить вид заболевания, этот тип диагностирования является одним из самых точных
Определить артрит на ранних стадиях развития помогает характерная для болезни отечность мягких тканей. Не исключается развитие воспаления костного вещества. Из-за активного течения заболевания случается деструкция костей. Разрушительные процессы могут происходить и внутри сустава, и за его пределами.
Рентгеновские проявления суставного заболевания в первую очередь наблюдаются по краям костных структур. Они приобретают вид своеобразной раковины или скорлупы. Существует целая классификация стадий по признакам подагры, которые можно увидеть на рентгене:
- Первая стадия. В пораженном месте формируются кисты и скопления уратов. Наблюдается уплотнение мягких тканей.
 - Вторая стадия. В области сустава образуются характерные для патологии крупные по размеру кисты. Также начинаются эрозивные процессы на поверхности сочленения.
 - Третья стадия. Ткани подвергаются сильной эрозии. Она может занимать около трети всего сустава. В результате этого происходит частичное разрушение кости и отложение в пустых полостях кристаллов солей.
 
Рентгенологические изменения обычно наблюдают при течении 1-й и 2-й стадии подагрического артрита. Они образуются на протяжении 9 лет. Примерно через 10-15 лет в области сустава происходят необратимые разрушения. Если пациент своевременно начнет правильно лечить свое заболевание, то ему удастся избежать негативных последствий и серьезных осложнений, которые даже могут привести к инвалидности.
Своевременное распознавание патологического процесса в суставе помогает в короткие сроки одержать победу над болезнью и предупредить ее переход в хроническую форму.
Узнав свой диагноз, категорически запрещается пытаться справиться с ним при помощи методов нетрадиционной медицины. При подагре требуется грамотно подобранное медикаментозное лечение.
Показания к проведению исследования при подагре
На основании клинических симптомов врач может предположить артрит или артроз. Для подтверждения диагноза подагры необходима дифференциальная диагностика.
Лабораторно определяют высокое содержание уратов в организме, в том числе, обнаруженной в жидкости. Рентгеноскопия особенно эффективна на стадии сформированных тофусов
В случае атипичного течения патологии обращают внимание на особенности протекания приступа (быстрое прогрессирование симптоматики и обратимость на ранней стадии). Для подтверждения диагноза достаточно выявления двух критериев
Следует знать, что скачок показателя уратов возможен в качестве побочного эффекта от приема салицилатов при лечении артрита. При отсутствии тофусов проводят пункцию синовиальной жидкости или биопсию тканей с целью микроскопического подтверждения подагры.
Показания к проведению исследований:
- несколько приступов артрита;
 - быстрое развитие клинической картины;
 - отек и покраснение сустава на фоне обострения;
 - «косточка» на месте соединения фаланги и плюсны большого пальца;
 - односторонний характер жалоб;
 - гиперурикемия;
 - асимметричный характер деформации суставов на рентгенограмме.
 
По статистике, у более чем 84% больных при подагре обнаруживают тофусы и соли натрия в суставной жидкости.
Как лечить подагрический артрит
Подагра – что за болезнь
Заболевание, возникающее из-за нарушения метаболизма пуриновых оснований в организме.
- В 40% случаев сочетается с заболеванием отложения фосфатов кальция (как дополнительный фактор в пользу болезни нарушения обмена веществ).
 - Подагрический артрит – артропатия с отложением кристаллов уратов в суставе и вне сустава (например, в почках)
 - Манифестирует у 10% пациентов с гиперурикемией (уровень мочевой кислоты более 6,4 мг/дл, у 20—25% мужской популяции, особенно в процветающих нациях)
 - Мужчины поражаются в 20 раз чаще, чем женщины
 - Возраст манифестации подагры: после возраста 40 лет (у женщин, после менопаузы)
 - В 60% заболевание поражает плюснефаланговые суставы большого пальца стопы (подагра на ногах)
 - Также часто поражает голеностопный сустав (подагрический артрит голеностопного сустава), коленный сустав и пястно-фаланговый сустав большого пальца кисти
 - В основе данной болезни обмена веществ – дисбаланс между продукцией и экскрецией мочевой кислоты
 - Когда концентрация в сыворотке достигает предела растворимости, кристаллы уратов осаждаются в тканях
 - Фагоцитоз кристаллов уратов лейкоцитами
 - Апоптоз с освобождением ферментов и медиаторов, которые вызывают повреждение сустава.
 
Первичная (семейная) гиперурикемия:
- Частота составляет 90—95%
 - Дефект фермента нарушает экскрецию мочевой кислоты или гиперпродукцию мочевой кислоты
 - Нарушение диеты при подагре.
 
Вторичная гиперурикемия:
- почечная недостаточность
 - Заболевания с накоплением высокого уровня дериватов пурина (миелопролиферативные и лимфопролиферативные нарушения)
 - Использование цитостатиков и диуретиков
 - Псориаз
 - Эндокринные нарушения (например, гиперпаратиреоз)
 - Употребление алкоголя.
 
Острая подагра:
триггерные факторы включают обильное употребление жидкости и пищевые пристрастия («голод и переедание»), так же как и стресс.
Советы от врача
Не подвергайте больной сустав нагрузкам. Необходимо периодически фиксировать его в приподнятом положении и прикладывать лед на 15-30 минут 2-3 раза в день, пока боль не утихнет.
Исключите аспирин. Он может вызывать скачки уровня мочевой кислоты в крови и усиливать приступы.
Регулярно измеряйте уровень мочевой кислоты — он не должен превышать 60 мг/л.
Делайте зарядку. Каждый день не менее получаса посвящайте физкультуре.
Пейте не менее двух литров чистой воды в день.
Сдайте анализ крови на определение уровня важнейших минералов и витаминов.
При необходимости дополните рацион хорошим витаминно-минеральным комплексом
Особенно важно для больных подагрой обеспечить себя витамином C.
Исключите газированные напитки и порошковые соки с фруктозой.
Исключите алкоголь.
Пересмотрите свой рацион в пользу овощей, фруктов и круп.
Употребляйте не более 120 граммов животного белка в день, избегайте субпродуктов и жирных колбас.
После нашего курса лечения уйдет боль, вернется былая подвижность, а при соблюдении рекомендаций врача вы сможете навсегда забыть о подагре.
Прогноз последствий подагры
При своевременном распознавании и лечении подагры можно избежать неприятных последствий или перетекания в хроническую форму заболевания. Неблагоприятные факторы, которые влияют на степень развития заболевания: возраст до 30 лет, стойкая гиперурикемия, превышающая 0,6 ммоль/л (10 мг%), стойкая гиперурикозурия, превышающая 1100 мг/сутки, наличие мочекаменной болезни в сочетании с инфекцией мочевыводящих путей; прогрессирующая нефропатия, особенно в сочетании с сахарным диабетом и артериальной гипертензией. Продолжительность жизни определяется развитием почечной и сердечно-сосудистой патологии. В заключение стоит отметить, что подагра — сложнодиагностируемое системное заболевание, симптомы которого различны и часто пересекаются с разными другими заболеваниями.
Только в 10% случаев врач может сразу диагностировать подагру, так как ее ранняя форма вялотекущая, почти бессимптомная
Именно поэтому важно следить за заболеваниями, у которых есть явные внешние проявления (боль или же деформация какого-либо участка тела), и состоянием крови. Кровь — это индикатор состояния человека
Вовремя диагностированная подагра позволит выбрать наиболее эффективный способ лечения. А если окончательный диагноз поставили только на поздней стадии, то, для того чтобы иметь возможность нормально передвигаться (подагра поражает суставы, деформируя их), поможет только хирургическое вмешательство и долгий реабилитационный период без гарантии, что заболевание вновь не вернется. Будьте здоровы!
Обязательно перед лечением болезней консультируйтесь с врачом. Это поможет учесть индивидуальную переносимость, подтвердить диагноз, убедиться в правильности лечения и исключить негативные взаимодействия препаратов. Если вы используете рецепты без консультации с врачом, то это полностью на ваш страх и риск. Вся информация на сайте представлена для ознакомительных целей и не является лечебным пособием. Вся ответственность за применение лежит на вас.
Подагра
Подагра – системное заболевание, связанное с нарушением пуринового обмена, отложением уратов в суставных и/или околосуставных тканях и развивающимся в связи с этим воспалением.
При остром артрите специфические изменения на рентгенограммах не выявляются. Характерные для подагры рентгенологические изменения развиваются обычно не ранее 3-х лет с начала заболевания. При этом одновременно можно наблюдать признаки деструкции, дегенерации и регенерации.
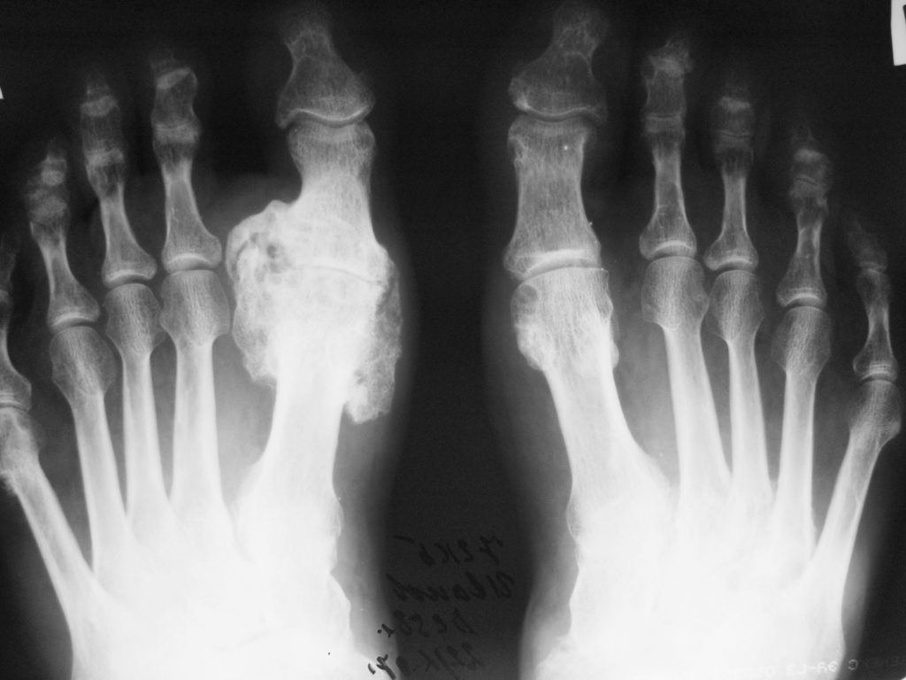
Для подагры типичны внутрикостные кистовидные образования различных размеров, обусловленные тофусами, которые могут располагаться внутри сустава, но, что особенно примечательно, рядом с ним и даже на некотором отдалении. Хронический подагрический артрит может сопровождаться деструкцией хряща (сужение щели сустава) и развитием краевых костных эрозий. Так называемый «симптом пробойника» – краевые костные эрозии или кистовидные образования правильной формы с четкими, иногда склерозированными контурами – наблюдается при подагре нечасто и для нее неспецифичен. Для этого заболевания более характерна возникающая с течением времени выраженная деструкция не только субхондрального участка кости, но и всего эпифиза и даже части диафиза (внутрисуставной остеолиз). При этом могут наблюдаться значительное расширение «изъеденных» суставных отделов костей и заострение их краев. Костные анкилозы при подагре описаны, но наблюдаются чрезвычайно редко (рис. 3).
Всегда своеобразна при подагре локализация рентгенологических изменений. Обычно наиболее выраженная патология обнаруживается в суставах стоп (в первую очередь в суставах больших пальцев) и кистей. Редкой, но известной локализацией рентгенологических изменений при подагре являются плечевые, тазобедренные, крестцово-подвздошные суставы и позвоночник
Важно отметить, что деструктивные изменения суставов или внутрикостные кисты рассматриваются как признак «тофусной» подагры
Костные изменения при подагре редко уменьшаются на фоне специфической терапии, со временем они даже могут несколько увеличиваться. Тофусы, расположенные в мягких тканях, также могут быть обнаружены с помощью рентгенографии, особенно если они кальцифицируются, что отмечается нечасто .
Таким образом, в диагностике заболеваний суставов, без сомнения, должен использоваться рентгенологический метод, особенно в повседневной практике врача первичного звена, поскольку каждое из заболеваний имеет свои, характерные только для него рентгенологические признаки. Знание особенностей рентгенологической картины артритов, безусловно, способно помочь практическому врачу в постановке правильного диагноза.
Общие методы диагностики
Пациентам с подозрением на подагру рекомендована консультация ревматолога и уролога
При появлении болей в суставах необходимо сразу обращаться за помощью к специалисту. Подобными заболеваниями занимаются врачи разных специализаций. С жалобами на дискомфорт в суставах принято идти на прием к терапевту, нефрологу, гепатологу или ревматологу. Последний вариант считается более оптимальным.
Чтобы понимать, что именно беспокоит пациента, ему в первую очередь необходимо пройти полноценное обследование в клинике. Направление на диагностические процедуры выписывается врачом, у которого он наблюдается. Потребуется сдача нескольких видов анализов:
- При подозрении на подагрический артрит нужно сдать анализ мочи. В случае наличия поражения сустава в образце будет обнаружено повышенное содержание уратов. К тому же в периоды обострения патологии урина приобретает бурый цвет. Присутствие большого объема мочевой кислоты подтверждает течение у больного подагры. Еще одним явным признаком болезни является повышенная кислотность.
 - Общий анализ крови тоже относится к числу обязательных диагностических мероприятий. В периоды обострения в образце выявляют ускоренное оседание эритроцитов. Также наблюдается повышение количества лейкоцитов. Все эти результаты указывают на развитие в организме человека острого воспалительного процесса, с которым требуется бороться. Результаты анализа крови не меняются в периоды между эксцессами.
 - Биохимический анализ мочи позволяет выявить присутствие повышенного количества мочевой кислоты. Если ее содержание в норме, то почки работают правильно. Повышенный или пониженный объем данного вещества свидетельствует о сбоях со стороны данного органа.
 - Анализ на содержание мочевой кислоты в крови необходимо делать до начала терапии и по ее завершении. Показатели в результате не должны превышать допустимые нормы. У женщин он равна 360 мкмоль/л, а у мужчин – 420 мкмоль/л.
 - При обострении подагры у человека в несколько раз увеличивается количество С-реактивного белка. Для проверки его содержания требуется провести ревматоидные пробы. С их помощью удается определить ревмофактор, который позволяет исключить развитие у больного других заболеваний с похожей симптоматикой.
 - К числу желательных диагностических мероприятий относятся анализы тофусов и синовиальной жидкости. Их назначают исключительно в крайних случаях.
 - Одной из самых важных процедур при подагрических симптомах является рентгенологическое исследование. Благодаря ему становится ясна вся картина болезни суставов. Рентген пораженного подагрическим артритом сустава помогает определить наличие в сочленении патологических изменений, которые вызваны образованиями из кристаллов солей. В случае подагры хронического характера на снимке будут хорошо заметны светлые пятна, указывающие на места поражения.
 
Диагностические мероприятия

Рентген-диагностика
Рентгенологические признаки подагры выявляют посредством воздействия лучей на пораженный участок с выводом проекции на пленку или монитор компьютера. После проявления снимка врач может уточнить степень разрушения костной ткани.
На начальной стадии обнаруживают отек тканей, воспаление костного вещества, деструкцию кости. Как внутри, так и снаружи соединения может идти процесс разрушения и эрозии. Рентгенологические проявления локализованы по краю соединений.
Симптом “пробойника”
Его проявления заключаются в деформации кости большого пальца в области фаланги, размером от 5 мм. Признак обнаруживается в хронической стадии течения болезни. Через значительное время тофусы образуются не только в костной ткани, но и во внутренних органах. Их поверхность может изъязвляться с выделением белого вещества. «Пробойник» можно обнаружить именно с помощью рентген-аппарата.

Рентгенологические изменения суставов на разных стадиях подагры
Чтобы избежать получения ложных результатов, необходимо выполнять рекомендации специалиста непосредственно в ходе диагностики. Не следует накануне перегружать сустав чрезмерными физическими нагрузками.
В зависимости от степени развития патологии меняется не только клиническая картина, но и рентгенологические признаки. Описание стадий подагры по снимкам:
- I – на фоне уплотнения мягких тканей обнаруживаются крупные кисты в костной ткани;
 - II – тофусы расположены возле сустава с мелкими эрозиями; ткани более плотные;
 - II – в ткани откладывается известь; поверхность эрозий значительно увеличена.
 
В зависимости от стадии развития изменения на рентгенограмме характеризуются как умеренные и значительные.
ЛАБОРАТОРНО-ИНСТРУМЕНТАЛЬНЫЕ ИССЛЕДОВАНИЯ
• При общем анализе крови во время острых приступов обнаруживают лейкоцитоз со сдвигом влево, увеличение СОЭ.
• При биохимическом анализе крови находят повышенное содержание мочевой кислоты в сыворотке.
• Исследование экскреции мочевой кислоты проводят после 3-дневной диеты, исключающей продукты, богатые пуринами (мясо, бульоны, птица, рыба, бобовые, овсяная каша, чай, кофе, какао, алкоголь, пиво). Определяют объём суточной мочи, pH, концентрацию мочевой кислоты и креатинина в моче и сыворотке крови. В норме выделяется 300-600 мг/сут мочевой кислоты.
• При анализе синовиальной жидкости, полученной из пораженного сустава, обнаруживают увеличение содержания лейкоцитов до 10-60×109/л с преобладанием нейтрофилов. Диагностическое значение имеет обнаружение игольчатых кристаллов уратов, расположенных внутриклеточно и двоякопреломляющих свет при исследовании с помощью поляризационного микроскопа.
• В содержимом тофусов обнаруживают кристаллы мочевой кислоты. При гистологическом исследовании ткани тофусов не следует фиксировать образцы формалином во избежание растворения кристаллов уратов.
					
