Лечение заболевания
Выбор техники вмешательства зависит не только от размеров нароста, но и его локализации:
- Крупный, сдавливает нервные окончания, находится на передней части бедренной кости – убирается образование и надкостница под местной анестезией или общим наркозом. После обязательно накладывается гипсовая лонгета на пару недель, чтобы обездвижить конечность и дать ей восстановиться.
- Более сложная операция будет в случае, если остеохондрома сформировалась на задней части сустава. Резекция начинается со здоровой кости с последующим углублением (убирается основание новообразования и часть кости). После хирургического вмешательства накладывается задняя гипсовая шина на срок до двух недель.
- Если образование злокачественное или заболевание выявлено на поздних стадиях, то может потребоваться остеотомия коленного сустава.
После будет период восстановления, включающий в себя специальную диету (исключается острое, жареное, консервы, продукты быстрого приготовления и любые ингредиенты, содержащие транс-жиры и канцерогены), прием медикаментов, ЛФК, массаж и т.д. Реабилитационный курс составляется индивидуально с учетом всех особенностей состояния организма, причин заболевания и вида операции.
Причины возникновения
Причины появления новообразования:
- Заболевание костей. К примеру, болезнь Педжета либо фиброзная дисплазия.
- Канцерогенные вещества. Попадая в организм человека, эти химические элементы способны вызвать в ДНК необратимые изменения, способствующие образованию раковых клеток.
- Наследственность. Прямой зависимости возникновения раковых клеток у человека по причине того, что у ближайших родственников выявлен рак, медицина не доказала. Но статистика показывает, что если одному из родителей поставлен диагноз рак рёбер, как правило, риск возникновения болезни у детей таких родителей достаточно высок.
- Радиация. К сожалению, необходимое лечение одного очага заболевания может стать причиной возникновения нового. Лучевая терапия, применимая однажды для блокирования раковых клеток, часто влияет на развитие другой раковой опухоли даже спустя годы после облучения.
- Отклонения в генетическом коде. Учёными доказана прямая связь между нарушениями в определённых хромосомах и увеличением риска развития злокачественных опухолей у человека. А вот по каким причинам происходит патология в хромосомах, учёные до сих пор не выявили. Есть предположение, что данные сбои в генетике происходят ещё во внутриутробном развитии. Ребёнок становится невинной жертвой страшной болезни уже во время своего формирования.
- Снижение иммунитета. На появление раковых клеток в организме может повлиять наличие других заболеваний, связанных со снижением иммунитета. К примеру, СПИД или сифилис.
- Возраст. Учёные обнаружили, что возникновение рака у детей напрямую связанно с их активным ростом в подростковом периоде.
Осложнения
Можно подумать, что если патология не вызывает никаких неприятных ощущений, то она неопасна. Действительно, у ребенка в некоторых случаях может произойти самопроизвольное излечение, и опухоль исчезнет. Но при большом размере разрастаний они могут сдавливать кровеносные сосуды, нервы и близлежащие органы, нарушая их функционирование. Особенно опасен экзостоз позвоночника. Рост такой опухоли может привести к компрессии спинного мозга. Это вызывает серьезные неврологические нарушения.
А при экзостозе наружного слухового прохода разрастание частично или полностью его перекрывает. В результате наблюдается шум в ушах, снижение слуха. Кроме того, осложнения могут быть при экзостозе в суставах. Так как патология возникает в период роста и развития скелета, может образоваться , развиться бурсит или тендинит. Нарушение функционирования конечности также вызывает атрофию мышц и связок, развитие артроза. А когда поражаются кости стопы, что нередко случается и у взрослых, возникают сложности в передвижении, невозможно носить обычную обувь.
Лечение экзостозов проводится только хирургическим путем
Серьезной патологией являются также множественные разрастания. Такой экзостоз может привести к деформациям скелета ребенка. Ведь в это время происходит его активное развитие, а опухоли нарушают нормальное его формирование. Из-за этого может образоваться косорукость, замедление роста, деформации коленного или локтевого сустава.
Более редким осложнением является перелом ножки разрастания, если оно имеет форму гриба. А при быстром росте такое образование может переродиться в злокачественную опухоль. Это может быть хондросаркома или веретеноклеточная саркома, но случается такое не чаще, чем в 1% случаев. Наиболее подвержены перерождению разрастания на тазобедренном суставе, бедрах или позвонках.
Что такое экзостоз
Экзостоз ребра у ребенка или взрослого развивается по разным причинам. Чаще всего диагностируется именно в детском возрасте из-за физиологических особенностей растущего организма. Во время интенсивного роста может произойти сбой, который приведет к образованию нароста. Причиной может стать и воспалительное заболевание или фиброзит слизистой сумки.
Экзостоз может быть следствием врожденного нарушения анатомии скелета или осложнением на фоне опухолевого образования. Но в большинстве случаев точную причину определить удается редко.
Признаки экзостоза
К первоочередным признакам экзостоза относят ощутимый дискомфорт и болезненность в области, где кость давит на другие ткани. Проявляются симптомы во время физического напряжения. Однако в большинстве случаев на первых стадиях патологии признаки отсутствуют.
Симптомы экзостоза
Признаки патологии зависят от ее локализации и размеров. Обнаружить новообразование порой бывает сложно, потому что длительное время его формирование протекает бессимптомно – медленно и безболезненно. Как правило, обнаруживают уплотнение случайно, когда оно начинает прощупываться и становится заметным при осмотре. Болевой синдром возникает при увеличении нароста до определенного размера.
При больших размерах опухоли происходит сдавливание кровеносных сосудов и нервов, возникает болевой синдром во время движения, физического напряжения, давления на кость, причем с ростом уплотнения боль усиливается. На этой стадии возможны также головная боль и головокружение, онемение участков тела, ощущение мурашек на коже. Патология сопровождается болевым синдромом при перерождении в злокачественную опухоль. Выраженной болезненностью характеризуются экзостоз коленного сустава, разрушение или отслаивание ногтя под воздействием растущего нароста, и др.
Причины развития патологии
Развитию заболевания способствует воспалительный процесс, травмы, ушибы. А также аномальное развитие надкостницы (из-за этого патология имеет второе название экзостоз надколенника) и защемлений разного происхождения. Провоцирующим фактором выступают нарушения в работе некоторых систем организма.
В целом, список провоцирующих факторов можно сформулировать следующим образом:
- Нарушения в коленном суставе. Это могут быть травмы и повреждения, особенно если они многочисленны (именно поэтому костный экзостоз колен часто диагностируется у тех, кто занимается спортом на профессиональном уровне).
- Патологические процессы в работе эндокринной системы.
- Аномалии в процессе формирования тканей хрящей, надкостницы.
- Воспалительные процессы любого происхождения.
- Заболевания инфекционного типа (к примеру, сифилис).
В медицинской практике нередко диагностируется экзостоз коленного сустава у детей. В этом случае причиной развития патологий являются травмы, полученные в период интенсивного роста тканей.
Сегодня проводится достаточно много исследовательских мероприятий, направленных на уточнение причин патологии. Одно из них направлено на изучение вероятности наследственного характера заболевания. Основывается оно на достаточно многочисленных случаях выявленных наследственных случаев экзостозов. Иные ученые противопоставляют этой теории единичные случаи заболевания. Соответственно, костный нарост под коленом, его образование не может быть объяснено исключительно наследственностью.
Прогнозы
При болезни рака рёбер высока вероятность появления новых очагов новообразования. По статистике 30-40% прооперированных подвержены повторению рецидивов. Усложняют ситуацию симптомы, которые проявляются уже на поздних стадиях рака. Успешное лечение этой болезни не гарантирует отсутствие рецидива.
Метастазы часто сопровождают злокачественную опухоль костей, что усугубляет положение. Как показывает статистика, повторное возникновение воспалений часто приводит к летальному исходу.
Клиническая картина
Симптоматика недуга может быть самой разнообразной. В некоторых случаях симптомы имеют абсолютно спокойное течение, а диагноз ставится случайным образом при проведении рентгенографии, или же когда наросты вырастают до таких объемов, которые становятся заметны человеку.
Но есть отдельные, опасные образования, для которых свойственно перерождаться в онкологию.
Чаще всего наросты возникают на концах трубчатых костей, поблизости от суставов. Их разрастание направлено в противоположное направление. Самым распространенным является экзостоз большой берцовой кости, также нередко встречаются поражения бедренной кости.
Страдают и пальцевые фаланги. Наросты появляются под ногтями, размером в 1 см. Недуг нередко провоцирует боли, когда ноготь отслаивается и повреждается.
Разрастания, которые размещены в других частях, обычно не доставляют болевых ощущений.
Количественные наросты отличаются симметрической локацией около ребер, ключиц и т.д. Они нарушают процесс правильного роста костной ткани и приводят к ее деформации.
Экзостоз коленного сустава следует рассмотреть отдельно. Точно так же, как и экзостозы позвоночника, их рост может быть направлен внутрь, что приводит к поражениям спинного мозга.
Экзостоз коленного сустава берет свое начало с бедра и разрастается под четырехглавой мышцей, давя на нее. Это приводит к поражению мышцы и ее растяжению, иногда даже и к перелому, и появлению «новых» суставов.
Этиология
Факторов, способствующих появлению данной кости, существует огромное количество, множественные наросты образовываются также по той причине, что у них нет отдельной локации.
Всему виной могут послужить регенеративные явления, происходящие в пораженной части вследствие травм. Основополагающим фактором к возникновению патологического нароста служит и сама травма.
Экзостозная болезнь может быть вызвана ударом, что возникает при воспалении слизистых тканей в человеческом организме.
Кроме всего прочего данный недуг может быть вызван некоторыми патологическими процессами: венерическими заболеваниями (RW), остеомиелитом и т.д. Основополагающей причиной появления недуга может стать воспаление. Также различают ущемления надкостницы как одну из возможных причин развития недуга.
Хроническое воспаление, которое долгое время присутствует в организме больного, может привести к формированию наростов. Они могут быть следствием отмирания тканей, нарушением работы органов или систем.
Патология возникает в результате разрыва связок, при которых теряется их целостность. Возникшие новообразования могут служить последствием опухолевых процессов. Наросты могут появиться после проведения хирургической операции. В некоторых случаях они могут быть следствием врожденных заболеваний костей.
К огромному сожалению, причины и последствия образования наростов невозможно никак объяснить. Существует мнение, что подобное явление возникает на фоне проблем с энхондральным окостенением.
Причины развития экзостоза
По мнению некоторых специалистов причинами появления данного заболевания могут служить наследственные отклонения, но научного подтверждения эта теория не получила.
Основными факторами возникновения экзостозов принято считать:
- различные воспалительные процессы;
- ушибы и травмы кости;
- нарушения развития надкостницы и хрящей;
- эндокринные нарушения;
- инфекционные болезни различной этиологии.
Самым значительным фактором, провоцирующим появление экзостоза, является избыток кальция в человеческом организме, который как раз и откладывается на костях и образует наросты. Причинами превышения уровня кальция может быть чрезмерное употребление молочных продуктов, яиц, петрушки, капусты, жесткой воды.
Второе название экозостоза – остеохондрома. Так в медицине называется доброкачественная костная опухоль, состоящая из костно-хрящевой ткани. В раннем детстве данное заболевание диагностируется крайне редко, его развитие наблюдается в основном в период полового созревания у подростков.
Описание болезни
Экзостоз — доброкачественное разрастание на кости. Оно образуется хрящевой тканью, которая со временем костенеет. Новообразование может принимать форму шипа, гриба, полусферы. Наросты могут быть как единичными, так и множественными (до нескольких десятков новообразований на одной кости). Код по мкб 10 — Д.16.
Болезнь поражает пациентов от 8 до 18-ти лет. У лиц старшего возраста она появляется редко. У пациентов младше 8-ми лет патология не диагностируется. Чаще всего наросты образуются на бедренной, малоберцовой и ладьевидной костях, примерно половина клинических случаев приходится на поражения большеберцовой кости.
Реже наросты поражают позвоночник, кисти или стопы. Не образуется экзостоз на костях черепа, в частности, на лобной и затылочной.
Различают два основных вида заболевания:
- Солитарный. При нем на ладьевидной, плечевой или иной кости образуется всего один нарост.
- Множественный. При нем новообразования нарастают сразу на нескольких участках, могут поражать несколько различных костей, наблюдаются даже на правой теменной кости. Этот вид патологии передается генетически.
Сам по себе экзостоз не представляет угрозы для здоровья, армия берет в свои ряды призывников с таким отклонением. Нанести человеку ущерб может только быстро растущее новообразование, поражающее нервы и сосуды. К примеру, при локализации экзостоза на позвонках возникает компрессия, провоцирующая стеноз позвоночного канала, что вызывает множество неврологических патологий. Такие случаи требуют хирургического лечения.
Локализация костно-хрящевого экзостоза
Такая патология зачастую поражает структуры лопатки, плечевого и локтевого сустава, кисти и фаланги пальцев. Нередко нарост образуется на ребре, в области большеберцовой кости, тазобедренного, и коленного сустава. Крайне опасны экзостозы позвоночника, при которых краевые остеомы нарушают подвижность позвонков, а также сдавливают нервные волокна и кровеносные сосуды, питающие головной мозг. Также этот недуг опасен тем, что возрастает вероятность перерождения в злокачественные наросты.
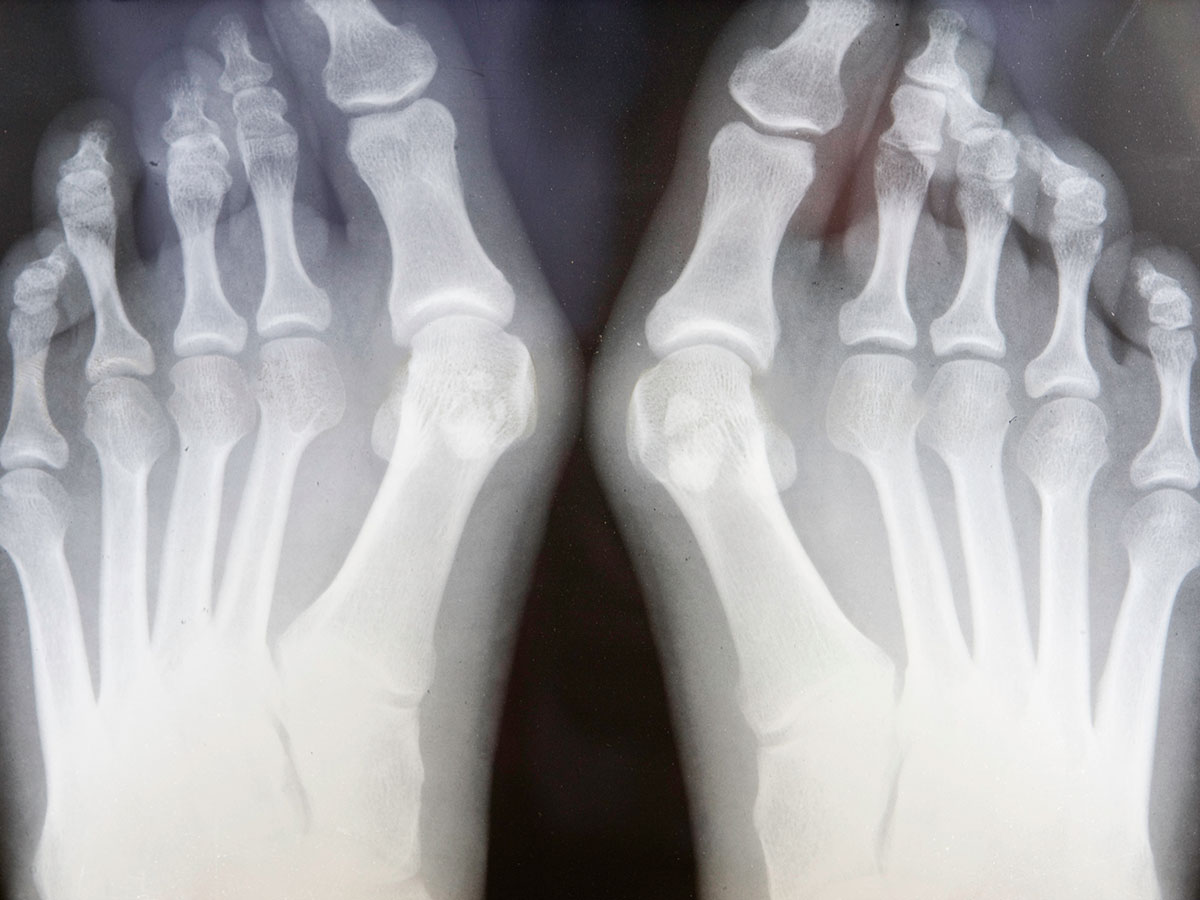
Если экзостоз поражает кости тазобедренного сустава, локализуясь в области головки и вертлужной впадины, сильно нарушается функционирование сочленения. Развивается воспаление, кости сустава деформируются, человек становится инвалидом. Реже всего поражаются стопы. В основном страдают пятки и суставы 1 плюсневой кости. Подошвенный отросток часто путают с плантарным фасциитом, из-за чего назначается неадекватное лечение.
Лечение
Лечение рака костей грудной клетки включает удаление опухоли путём хирургического вмешательства и дальнейшего проведения химио- и лучевой терапии. Проведение повторной, послеоперационной химиотерапии обязательно при обнаружении воспаления на поздних стадиях, большой локализации опухоли и объёмном метастазировании близлежащих органов. Повторное проведение терапии направлено на уменьшение размеров очага и купирование образования.
Рак рёбер – злокачественный вид опухоли, поражающий грудной каркас. После удаления поражённых рёбер и грудины хирургическим путём проводится операция по восстановлению грудной клетки. После операции удалённые части исследуют. Если края резекции не задеты раковыми клетками это означает, что операция принесла положительный результат, и очаг воспаления удален полностью.
Лучевая терапия назначается единственно при наличии запущенной стадии рака для облегчения общего состояния пациента, поскольку эффективна не при всех видах опухоли. Облучение назначают при наличии саркомы Юинга.
Как распознать патологию?
Преимущественно экзостоз не вызывает болевых ощущений. Рост новообразования проходит медленно, чаще всего оно не причиняет больному никакого дискомфорта. Кожный покров над опухолью не меняет оттенок, воспаления или отечности не наблюдается. Зачастую заболевание диагностирует случайным образом при проведении плановой рентгенографии. Однако существуют случаи, когда нарост можно прощупать. Иногда новообразование достигает особо крупных размеров, что его можно заметить при визуальном осмотре. В исключительных ситуациях экзостоз, который локализуется в коленном суставе, может вызывать болевой синдром. Иногда присутствует онемение кожного покрова и мурашки.
Возможные осложнения
Если запустить рост остеохондром, то устранить экзостоз и восстановить подвижность конечности будет проблематично (исключением в этом случае станет полная замена сустава)
Важно понимать, что при отсутствии должного лечения возможно развитие бурсита, перитендинита и других заболеваний, влекущих за собой деформацию и разрушение не только кости, но и прилегающих тканей. Злокачественный нарост на кости возникает крайне редко
Он не только доставляет дискомфорт (сильные боли при движении конечностями), но и при отсутствии лечения становится причиной ампутации ноги и даже летального исхода. При возникновении подозрений на заболевание важно проходить дополнительные обследования и строго следовать рекомендациям лечащего врача.
Лечение экзостоза
За остеохондромой чаще всего просто устанавливается наблюдение. Если она вызвана эндокринными, инфекционно-воспалительными заболеваниями, проводят терапию основной болезни. Хирургическое удаление экзостоза рекомендовано в случае:
- выраженных суставных деформаций и ограничении движений;
- сильных болей;
- компрессии крупным узлом внутренних органов;
- быстром росте опухоли.
Нарост вырезают у самого основания и удаляют вместе с шляпкой.
У детей и подростков возможно самопроизвольное рассасывание экзостоза без операции по окончанию периода роста. Поэтому до 18 лет не рекомендуется спешить с хирургическим вмешательством.
Лечение врожденных хондродисплазий сложное комплексное: это, по возможности, сочетание хирургических методов (эндопротезирование, корригирующая остеотомия, удлинение конечностей при помощи дистракционных аппаратов) и консервативных (профилактика артроза, массаж, лечебная физкультура и др.)
Виды
Разрастание может локализоваться в любом месте скелета. Но чаще всего бывает экзостоз на большеберцовой и малоберцовой кости, нижней части бедра, на предплечье или плечевой кости. Разрастания могут локализоваться на ребрах, ключицах и даже на телах позвонков. Немного реже у детей встречается экзостоз кисти руки или стопы. Разрастания не имеют никаких особенностей в зависимости от места появления, кроме того, что могут мешать и сдавливать соседние органы или ткани.
К отдельной группе можно отнести экзостоз десны. Они чаще всего образуются у взрослых, в основном после удаления зуба или осложнений после лечения. Эта патология диагностируется и лечится стоматологом. На костях черепа костно-хрящевые наросты еще не наблюдались. Но встречаются экзостозы наружного слухового прохода. Такое состояние чаще всего врожденное, поэтому развивается симметрично с двух сторон.
Небольшие особенности имеют разрастания на суставах. Чаще всего встречается экзостоз коленного сустава. Он может быть врожденным или развивается после травмы. Разрастание образуется или на конце бедренной кости, или же внутри самого сустава. Это приводит к ограничению его подвижности, особенно сложно разгибать ногу.
Патология имеет две разновидности. Если развивается одиночная опухоль, чаще всего, на берцовой кости или бедре, говорят о развитии солитарного костно-хрящевого экзостоза. Если наростов много, эта патология называется множественной экзостозной хондродисплазией. Такое заболевание чаще всего имеет наследственную природу.
Иногда развивается множественная экзостозная хондродисплазия, при которой наросты образуются по всему телу
Диагностика и лечение экзостоза
Болезнь развивается крайне медленно, этот процесс проходит абсолютно без проявления каких-либо симптомов. Признаки в виде боли, головокружения, головной боли, онемения участков тела, ощущения мурашек возможны при сдавливании опухолью кровеносных сосудов и нервов.
Выявляется болезнь либо визуально (когда нарост достигнет довольно больших размеров), либо случайно при проведении рентгенологической диагностики других заболеваний. Окончательный диагноз при экзостозе устанавливается только с помощью рентгена.
Обратите внимание: при определении размера и формы опухоли нельзя забывать о том, что на снимке видна только костная часть нароста, а хрящевая ткань не определяется. Поэтому истинный размер новообразования будет отличаться от изображенного на рентгеновском снимке в большую сторону.
Лечение экзостоза возможно только хирургическими методами. Медикаментозных методик излечения от данного заболевания просто не существует. Проведение оперативного удаления наростов не рекомендуется лицам, не достигшим совершеннолетнего возраста, так как в процессе формирования костных тканей наросты могут исчезнуть сами собой.
Оперативное вмешательство показано в случае быстрого развития новообразования, особенно если из-за больших размеров происходит ущемление нервов либо сосудов. Операция может проводиться как под наркозом, так и под местной анестезией. Выбор метода обезболивания зависит от размеров и места расположения опухоли. Сама техника проведения вмешательства довольно простая, костное образование удаляется с помощью долота, а место повреждения на кости сглаживается.
Период восстановления длится примерно пару недель. Если оперативное вмешательство было незначительным, например, удалялась одна небольшая опухоль, то уже на следующий день пациент способен передвигаться самостоятельно
На первом этапе восстановления важно соблюдать максимально щадящий режим движений. После того как отек полностью спадет или уменьшится до минимума, начинают восстановительную терапию
Восстановление сводится к упражнениям, направленным на возврат утраченной мышечной массы и силы. Когда тренировки перестанут причинять физическую боль и вызывать неприятные ощущения, тогда реабилитацию можно считать успешно завершенной.
Операция у детей и взрослых
В детском возрасте до 18-ти лет экзостоз зачастую способен самостоятельность исчезнуть, по этой причине хирургические вмешательства по этому поводу у детей, как правило, не осуществляют. Операция будет необходима, если нарост будет причинять болевые ощущения либо стремительно возрастать в объемах.
Так как способов консервативной терапии нет, то при существующей потребности разросшиеся участки удаляют с помощью операции. В каких ситуациях проводится оперативное вмешательство:
- Когда происходит стремительное разрастание патологических тканей;
- Когда опухоль настолько крупная, что ее видно снаружи;
- Когда наросты передавливают сосуды и нервные окончания.
Операция осуществляется под действием местного либо общего наркоза. Это находится в зависимости от расположения и объема новообразования. Сперва с помощью долота устраняется костное образование, а далее особыми приборами совершают сглаживание кости.
На протяжении почти двух веков ведется изучение поведения костного образования, о появлении и прогрессировании которого человек не всегда подозревает. Насколько распространена патология среди населения, неизвестно, потому что в большинстве случаев протекает она скрыто, бессимптомно. Медицина обладает большим арсеналом методов оперативного лечения, но до настоящего времени единой тактики не выработано. Возникает экзостозная болезнь у детей, подростков и молодых людей возрастом 8-20 лет в период полового созревания. Данных о заболеваемости детей до 6 лет не имеется.
Причины возникновения у детей
Множественные наросты на костях являются последствием нарушения в генном аппарате ребенка. Это заболевание передается по наследству и не поддается полному излечению.
Экзостоз какой-либо одной кости может быть приобретенным по различным причинам:
- В результате травмы или ушиба;
- При инфекционном поражении костной ткани (частой причиной становится возбудитель сифилиса);
- В результате нарушения гормонального баланса;
- При наличии индивидуальных особенностей развития накостницы и хрящевой ткани.

Остеохондромы могут разрастаться до 5-6 см размера.
В медицинской практике отмечены отдельные редкие случаи, когда наросты останавливают свое развитие до окончания полового созревания организма и даже постепенно рассасываются до полного исчезновения. Упоминаются отдельные случаи возникновения болезни у взрослых людей. Как правило, развитие костных образований начинается на местах переломов или инфекционных поражений.
Особенности и причины развития патологии
Многих пациентов волнует происхождение экзостозов: что это, и чем они отличаются от других доброкачественных новообразований. Обычно заболевание затрагивает длинные трубчатые кости, чаще всего бедренную, малоберцовую и большеберцовую. Под действием различных неблагоприятных факторов на поверхности пораженных тканей развивается хрящевой нарост. Со временем он окостеневает и продолжает расти за счет покрывающего его гиалинового хряща. Внутренняя часть образования имеет плотную губчатую структуру.
Чаще всего формируется единичный экзостоз кости диаметром от нескольких миллиметров до 10 см и более. Нарост может иметь округлую, продолговатую или неправильную форму. В редких случаях образуются множественные экзостозы объемом до 0,5-1,5 см, локализующиеся чаще всего на подногтевых поверхностях фаланг пальцев.
В отличие от остеофитов, прорастающих в канал костного мозга, экзостоз является исключительно наружным образованием. Также остеофиты формируются только на краевых областях костей, а экзостозная болезнь может поражать любой участок их поверхности.
Патология встречается у детей и подростков в период активного роста скелета. Обычно ее развитие останавливается к 18-20 годам, но примерно в 3-5% случаев новообразования продолжают расти до 30-40 лет. Чаще всего экзостоз является вторичным заболеванием, развивающимся под действием внешних и внутренних неблагоприятных факторов:
- Травмы (переломы, ушибы, разрывы связок),
- Инфекционное воспаление костной ткани (остеомиелит),
- Заболевания суставов (бурситы, артриты),
- Аномалии развития костей, надкостницы, хрящей,
- Асептический некроз,
- Эндокринные нарушения,
- Сифилис и другие инфекционные заболевания.
Симптомы и диагностика наростов на костях

Экзостоз можно выявить во время осмотра и ощупывания подозрительных участков на стопе, голени, руке, ключицах. Недуг развивается постепенно и может никак себя не проявлять в течение долгого времени. Болевые ощущения могут появиться лишь тогда, когда нарост будет давить на ближайший сосуд или нерв. Иногда костяные и хрящевые наросты обнаруживаются случайно, во время рентгена. Рентгеновское обследование дает развернутую информацию о виде и форме нароста, о его размерах степени развития. Нужно помнить, что на снимке рентгена хрящевой ткани новообразования не видно. Из-за этого нарост на фото всегда меньше, нежели в реальности.
Лечение
Заболевание не требует обязательного лечения. Обычно при костно-хрящевом экзостозе у детей до 18 лет показано регулярное медицинское наблюдение у хирурга-ортопеда. У многих пациентов рост костных выступлений происходит крайне медленно и не причиняет дискомфорта. Известны случаи, когда наросты самостоятельно рассасываются или сохраняют постоянный размер на протяжении всей жизни.
Единственным методом лечения экзостоза является операция. Показаниями к проведению хирургического вмешательства являются:
- Новообразования большого размера, приводящие к боли, дискомфорту, сдавливанию окружающих тканей или являющиеся косметическим дефектом,
- Быстрый рост уплотнения,
- Перерождение в злокачественную опухоль.
Операция не требует специальной подготовки и осуществляется под местным или общим наркозом в зависимости от локализации и размера образования. Процедура включает в себя удаление нароста с последующим сглаживанием поверхности кости.
Реабилитационный период составляет одну-две недели. После удаления небольшого экзостоза на ноге можно вставать уже на следующий день. В первые 2-3 суток требуется соблюдать щадящий двигательный режим, после уменьшения отека необходимо разрабатывать конечность с помощью массажа и ЛФК.
Прогноз после хирургического лечения экзостоза хороший. Практически у всех пациентов наступает стойкое выздоровление.
Симптомы экзостоза в пяточной кости
Помимо боли, могут проявляться и другие симптомы, связанные с пяточной шпорой. Например, пациенты могут испытывать ощущение неприятных покалываний или жжения в области пятки. Некоторые могут заметить отечность или покраснение кожи, а также появление мозолей или жжений в области пятки.
Кроме того, экзостоз в пяточной кости может приводить к изменению походки или хромоте. Это связано с тем, что боль в пятке может делать движение ногой более затруднительным и неудобным. Как результат, пациенты начинают искать различные способы разгрузки пятки при ходьбе или выпрямлении ноги.
Если у вас есть подозрение на наличие экзостоза в пяточной кости, необходимо обратиться к врачу-ортопеду или подробнее проконсультироваться с врачом пяточной травматологии. Он проведет осмотр, задаст дополнительные вопросы о симптомах и проведет необходимые исследования, например, рентген, чтобы подтвердить или исключить диагноз.
Нетрадиционные методики
Приоритетом в терапии выступает операция, но также широко практикуется лечение народными средствами, которое дает неплохие результаты на начальных этапах.
Одни люди обращаются к травникам и целителям, другие пользуются советами своих бабушек. Но, перед тем как приступать к домашней терапии, следует понимать, что такое лечение может повлечь за собой ряд негативных последствий, и посоветоваться с лечащим доктором.
Когда пациентам не удается достичь хороших результатов, они начинают пить обезболивающие препараты и использовать различные мази. Но такие меры крайне опасны для вашего здоровья:
- Прежде всего, бездумное лечение может крайне отрицательно повлиять на вашу печень и почки, а также на ЖКТ.
- Помимо этого доброкачественный нарост может перерасти в злокачественное образование, а медикаменты, которые принимаются бесконтрольно, лишь ускорят данный процесс.
Однако народные методики не несут такого вреда, если они применяются лишь с профилактической целью.
Прежде всего важно сделать акцент на образе жизни. Полноценное питание, укрепление иммунной системы, физический труд.
Все это препятствует появлению недуга даже в процессе получения травмы.
Определенные патологии могут также привести к развитию заболевания.
Чтобы этого избежать, важно внимательно следить за здоровьем, и своевременно проходить обследования.
Чтобы патология не поразила ваши конечности, следует давать им отдых и релаксацию.
Помните, что нагрузка на ноги должна быть равномерной, потому важно носить только удобную обувь с ортопедическими стельками.
Доктора часто назначают пациентам компрессы, чтобы снять отечность.Использование народных методик может проводиться и после хирургического вмешательства, но ни одна методика не может быть использована без врачебной предварительной консультации.
Симптомы
Поражение бедренной или большеберцовой кости может протекать без каких-либо характерных проявлений. Диагностируют его обычно при формировании нароста значительного размера, который обнаруживается при пальпации того или иного участка тела.
При поражении пяточной кости, пальцев стопы или кистей рук может наблюдаться защемление нерва наростом. В таком случае у пациента будет наблюдаться выраженный болевой синдром, затруднение движений, в дальнейшем — снижение чувствительности конечности. Прогрессирование патологии может привести к инвалидности человека.
Наиболее опасным из всех форм болезни является экзостоз позвоночника. Крупные образования иногда провоцируют компрессию спинного мозга. Развитие патологического процесса сопровождается постоянными болями в спине, снижением рефлексов, при длительном течении заболевания — снижением чувствительности конечностей.
Виды экзостоза коленного сустава
Костные наросты могут образовываться в любом месте скелета. Однако чаще всего диагностируют их в зоне локтевого, коленного, бедренного и плечевого сустава. Такие разрастания никак не отличаются друг от друга, за исключением того, что в некоторых ситуациях они могут мешать и оказывать давление на соседствующие ткани и органы. Что касается экзостоза коленного сочленения, то делят его на 2 вида:
- посттравматический,
- врожденный.
Кроме этого, классифицируют коленный экзостоз и следующим образом:
- Одиночный. Когда наблюдается одна опухоль.
- Множественный. В случаях, когда появляется много наростов.
Причины и признаки остеомы
Остеома – это доброкачественное образование, развивающееся из костной ткани. Может встречаться остеома ключицы и ребра. Большого вреда организму она не причиняет, если быстро не прогрессирует. Но иногда может влиять на работу органов, расположенных под ребрами.
Врачи редко говорят о точных причинах остеомы, однако существует ряд факторов, которые можно считать провоцирующими:
- частые или серьезные травмы ребер, грудной клетки, ключицы;
- инфекционные поражения костей, грудной полости;
- длительное радиационное воздействие;
- вирусные болезни.
Чаще всего большая остеома ребра обнаруживается у детей, родители которых страдали от аналогичного нарушения. Изначально остеома не доставляет проблем, однако большая опухоль может сдавливать нервные окончания, из-за чего появляется болезненность.
Причины образования экзостоза
Этиология опухоли врачами устанавливается не всегда. Известно, что единичное уплотнение возникает как результат усиленного роста хрящевой ткани, вызванного рядом причин, а множественные новообразования являются переданными по наследству, семейными болезнями. Существует ряд внешних факторов, способствующих возникновению губчатого нароста:
- хронические воспалительные заболевания костной или хрящевой ткани;
- интенсивный рост тканей на местах травм, переломов, ушибов, ущемлений отделов скелета;
- инфекционные заболевания;
- аномалии развития надкостницы и хрящей;
- избыток кальция в организме, стимулирующий развитие костных тканей;
- усиленный рост скелета во время полового созревания у подростков;
- нарушения работы эндокринной системы.










